|
本期投票结果,您答对了吗?
1. 图片显示有冠状动脉的钙化? 2. 右侧冠状动脉从哪里起源? 左侧冠窦 100票 69% 左侧冠脉主干 13票 9% 右侧冠窦 29票 20% 无冠窦 3票 2%
3. 图像显示的解剖变异是良性的吗? 4. 右侧冠脉的路径是位于主动脉根部与下列哪个解剖结构之间? 左心房 23票 16% 右心房 39票 27% 左上肺静脉 13票 9% 靠近肺动脉主干 70票 49%
5. 图像显示的右侧冠脉开口是正常口径?

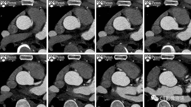
门控冠脉CTA成像,轴位图像

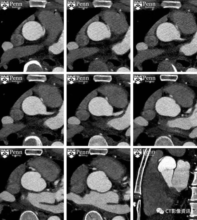
复习轴位图像 
矢状位图像 
发现、诊断
影像学描述 右冠状动脉从左侧冠窦异常起源,右冠与冠窦之间夹角狭窄,开口呈狭缝状改变,在主动脉根部和近端肺动脉干之间走形(或者可能恰好邻近肺动脉瓣,示例图片可能显示的不好)。右冠状动脉近端主干的管径减小。未见冠状动脉钙化。
最终诊断:右侧冠状动脉恶性的起源异常。
获奖名单 经过系统的随机抽取,本期获奖者为刘超老师,请刘老师在3月10号之前尽快给我们留言,或者联系电话15201463746,并留下您的联系电话和邮寄地址,以便我们安排寄出奖品,逾期则视为主动放弃。非常感谢各位小伙伴的积极参与!
右侧冠状动脉恶性的起源异常 要点
背景 常规CT血管造影显示异常冠状动脉起源的流行病学统计概率约为1%。与成年人(约1%)相比,具有心源性猝死的年轻患者(4%至15%)的冠状动脉异常的发生率增加。 恶性冠状动脉起源是继肥厚性心肌病后,年轻运动员猝死的第二常见原因。 右冠状动脉起源于左侧冠窦,是最常见的右冠状动脉异常起源。
病理生理学 右侧冠脉的壁间走形可能是心脏猝死的原因,其原因是由于右冠状动脉血流受限。 可能导致冠状动脉血流受限的结果:右冠开口与左侧冠窦夹角狭窄;右冠开口呈狭缝状改变。 另外一些增加心源性猝死风险因素:右冠壁间走形的高位=更高的风险。有可能的机制是:在这个位置水平,增加了主动脉和肺动脉的扩张。主动脉和右心室流出道之间的低位壁间动脉走形=较低的风险。 无症状的患者中猝死是罕见的。
治疗
参考文献 Aydinlar A, Ciçek D, Sentürk T, et al. Primary congenital anomalies of the coronary arteries: A coronary arteriographic study in Western Turkey. Int Heart J. 2005;46& #40;1& #41;:97-103. Huynh N, Ross R, Burns P, George JC. Anomalous right coronary artery from left coronary cusp with inter-arterial course: Evaluation and management. Cath Lab Digest. 2015;23& #40;8& #41;. Lee HJ, Hong JY, Kim HY, et al. Anomalous origin of the right coronary artery from the left coronary sinus with an interarterial course: Subtypes and clinical importance. Radiology. 2012;262& #40;1& #41;:101-108. Maron BJ, Shirani J, Poliac LC, et al. Sudden death in young competitive athletes. Clinical, demographic, and pathological profiles. JAMA. 1996;276& #40;3& #41;:199-204.
|