|
CT云课堂病例分享专栏旨在为广大医生搭建一个在线学习、交流、讨论的平台,将疑难或有一定代表性的病例的诊断分析思路、看待问题的角度,传递给医生朋友或医学生。为此,我们挑选了国外医院的一些精品病例,供大家讨论学习,定期公布答案,留言评论者将有机会赢取小奖品。欢迎广大医学影像同道参与,共同进步。
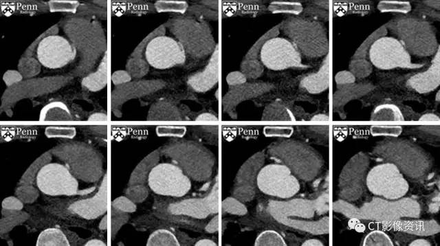
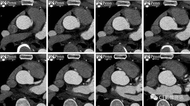
病史 男性,43岁,间歇性非劳力性胸痛数月。
致谢 Our appreciation is extended to Dr. Bryan Chang, University of Pennsylvania Department of Radiology, for contributing this case.

门控冠脉CTA成像,轴位图像

复习轴位图像

矢状位图像

发现、诊断
请您读片后思考并完成下面的问题,答对并且留言评论者将有机会获得精美小礼品哦!
1.图片显示有冠状动脉的钙化?(单选)
2.右侧冠状动脉从哪里起源?(单选)
3.图像显示的解剖变异是良性的吗?(单选)
4.右侧冠脉的路径是位于主动脉根部与下列哪个解剖结构之间?(单选)
5.图像显示的右侧冠脉开口是正常口径?(单选)
欲知诊断结果如何,请继续关注下一期的内容!前几期的小礼品已经寄出了,赶快留言评论吧!
版权申明:该案例来源于网络,所有的资源均为学习、交流使用,不得用于任何商业用途。不希望被转载的请与我们联系,我们将立即进行删除处理。
|