肝血管瘤

肋间斜切,肝内实性结节,高回声,占位,血管瘤,小结节





肝脏门静脉

剑突下斜切,第一肝门,正常肝脏血管,门静脉,工字形为门脉左支



肝血管瘤

剑突下纵切,肝内高回声结节,血管瘤



正常肝脏

肋缘下斜切,肝静脉,肝右静脉,肝中静脉,正常肝实质



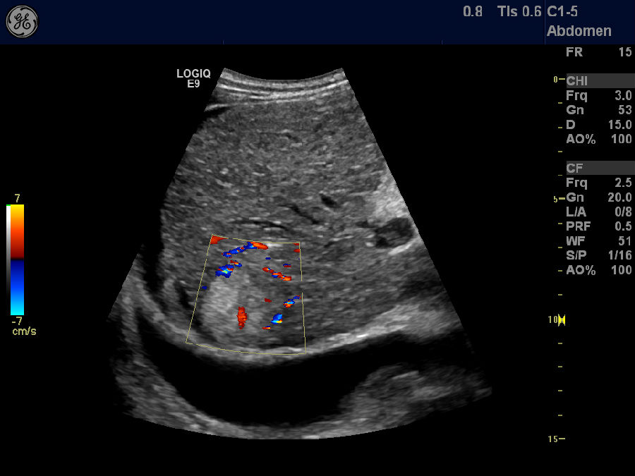
肝硬化、腹水

肋间斜切,彩色多普勒显示门静脉血栓,肝硬化,腹水



门静脉癌栓

肋间斜切,彩色多普勒显示门静脉充盈缺损,癌栓



肝脏实性占位

肋间斜切,彩色多普勒显示高回声的肝脏实性占位,肝癌,肝硬化,腹水,胸水



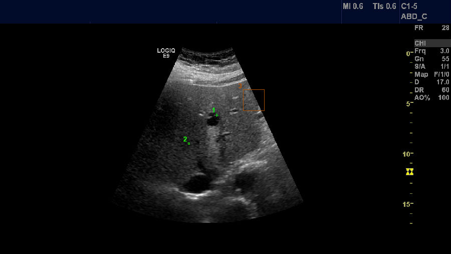
肝囊肿、容积导航

肋间斜切,容积导航GPS定位肝囊肿



肝硬化、腹水

肋间斜切,肝硬化,腹水



转移性肝癌

肋间斜切,肝内多发高回声实性占位,转移性肝癌



肝硬化,容积导航

肝硬化,栓子,腹水,容积导航融合成像



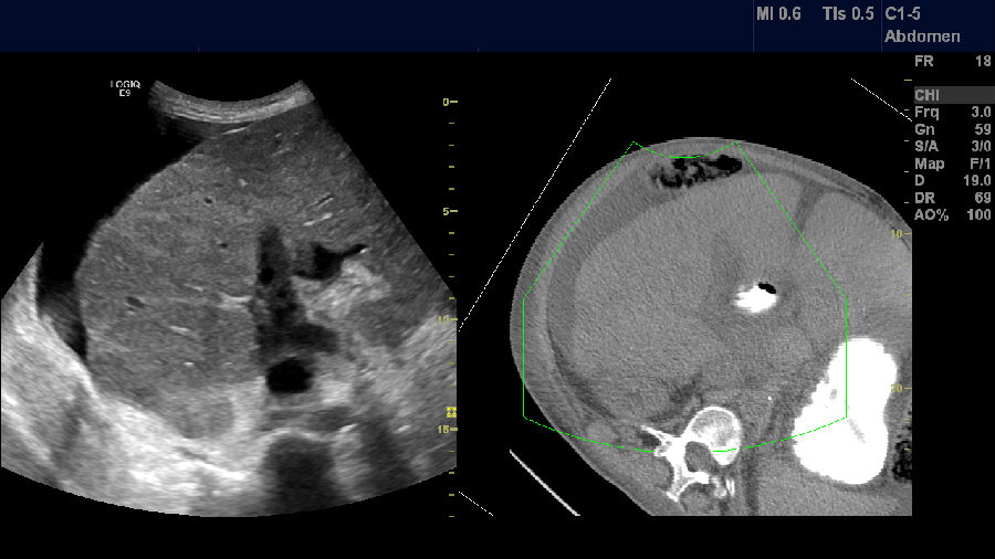
肝脏容积导航融合成像

肝脏容积导航融合成像


| 回复

登录后进行回复

发新帖
  • 回复
  • 点评
  • 评分
  • 分享

推荐帖子