|
本期投票结果,您答对了吗? 1. 诊断为主动脉瘤修补术后再次破裂出血?
2. 诊断为混合密度的腹膜后肿块?
3. 左侧肾盂积水?
4. 下述选项中最应该采取的措施?
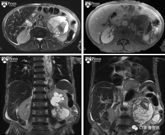
5. 肿块T2图像上主要呈高信号改变?
6. 肿块分隔,隔壁强化?
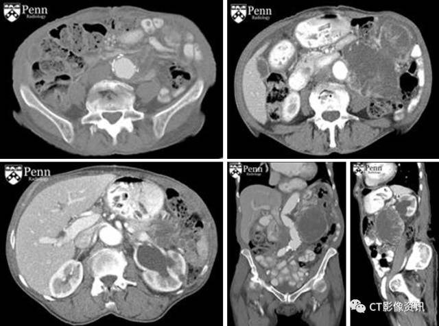
7. 下述哪一个诊断最为可能? 胃肠道间质瘤 11票 8% 腹膜后肉瘤 27票 21% 血管肌脂肪瘤 21票 16% 炎性动脉瘤 69票 53% 淋巴瘤 4票 3%


检查结果
鉴别诊断 腹膜后肉瘤 胃肠道间质瘤 外周神经鞘瘤 恶性纤维组织细胞瘤 星形胶质细胞瘤 腹膜后出血 肾血管肌脂肪瘤
最终诊断:腹膜后肉瘤(平滑肌肉瘤)
获奖名单 经过系统的随机抽取,本期获奖者为王梦静老师,请王老师在3月3号之前尽快给我们留言,或者联系电话15201463746,并留下您的联系电话和邮寄地址,以便我们安排寄出奖品,逾期则视为主动放弃。非常感谢各位小伙伴的积极参与!
附加题 1.下述最常见的腹膜后肉瘤是?(单选)
2.MRI图像足以区分肉瘤的类型,因此一般不需要进行组织活检?(单选)
3.在腹膜后平滑肌肉瘤中,下述哪一血管结构经常被累及?(单选)
腹膜后平滑肌肉瘤病例要点 病理生理学: 起源于脉管系统或者肠管中胚层的恶性肿瘤。 血管外占62%。 血管内占6%,下腔静脉最常见。 血管内和血管外均受累者占33%:侵犯邻近结构,包括实质脏器和血管。 病理上可分为:高分化型、多形性型、粘液型、去分化型。 影像学检查缺乏特异性,确诊需要病理活检。 发现时多为晚期患者:局部复发率高,由于确诊时多已侵犯邻近组织,所以经常无法完全切除;可通过循环系统形成种植性远处转移;五年生存率低。
流行病学:
临床表现:
形象学特点: 主要特点:腹膜后巨大肿块,确诊时通常10cm或大于10cm;影像学缺乏特异性,随肿瘤成分的不同影像学表现有较大的差,可以有较大的囊性坏死成分,脂肪和钙化少见。 CT:可见巨大腹膜后肿块,伴囊性和(或)坏死密度;增强扫描呈不均匀强化。 MRI:T1-加权:等到低信号;T2-加权:由于囊性或坏死成分呈等到高信号;增强扫描:不均匀强化。
治疗
References Hartman DS, Hayes WS, Choyke PL, Tibbetts GP. From the archives of the AFIP. Leiomyosarcoma of the retroperitoneum and inferior vena cava: radiologic-pathologic correlation. Radiographics.1992;12& #40;6& #41;:1203-1220. Nishino M, Hayakawa K, Minami M, Yamamoto A, Ueda H, Takasu K. Primary retroperitoneal neoplasms: CT and MR imaging findings with anatomic and pathologic diagnostic clues. Radiographics.2003;23& #40;1& #41;:45-57.
|