|
CT云课堂病例分享专栏旨在为广大医生搭建一个在线学习、交流、讨论的平台,将疑难或有一定代表性的病例的诊断分析思路、看待问题的角度,传递给医生朋友或医学生。为此,我们挑选了国外医院的一些精品病例,供大家讨论学习,定期公布答案,留言评论者将有机会赢取小奖品。欢迎广大医学影像同道参与,共同进步。
致谢:Our appreciation is extended to Dr. James Chen, University of Pennsylvania Department of Radiology, for contributing this case.
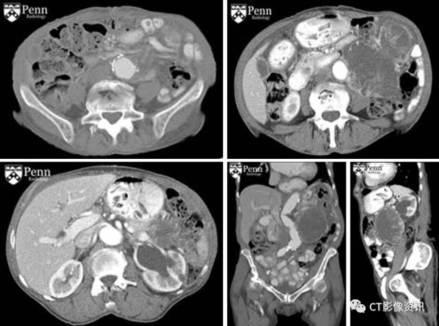
病史 女性85岁,腹主动脉瘤破裂修补术病史,现发现腹部肿块,进行性增大伴腹部锐痛,其血流动力学稳定,但血象示重度贫血。
CT增强如下图所示:

MRI图像如下图所示:

核磁共振检查以进一步明确左腹部肿块性质,上图依次为:增强轴位T2压脂, T1压脂,以及两幅增强冠位T2压脂图像。
请您读片后思考并完成下面的问题,答对并且留言评论者将有机会获得精美小礼品哦!
1.诊断为主动脉瘤修补术后再次破裂出血?(单选)
2.诊断为混合密度的腹膜后肿块?(单选)
3.左侧肾盂积水?(单选)
4.下述选项中最应该采取的措施?(单选)
5.肿块T2图像上主要呈高信号改变?(单选)
6.肿块分隔,隔壁强化?(单选)
7.下述哪一个诊断最为可能?(单选) 胃肠道间质瘤 腹膜后肉瘤 血管肌脂肪瘤 炎性动脉瘤 淋巴瘤
欲知诊断结果如何,请继续关注下一期的内容,还有附加问题哦!前几期的小礼品已经寄出了,赶快留言评论吧!
版权申明:该案例来源于网络,所有的资源均为学习、交流使用,不得用于任何商业用途。不希望被转载的请与我们联系,我们将立即进行删除处理。
|