|
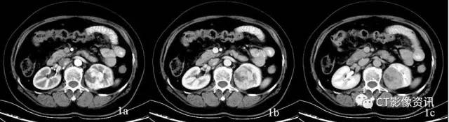
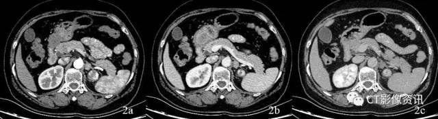
病例资料 患者女性,58岁,既往体健,查体发现左肾占位,行泌尿系CTU扫描,左肾占位呈典型“快进快出”强化方式(图1),考虑肾癌,透明细胞癌可能性大。左肾上腺见结节灶,呈明显均匀强化(图2),肾上腺转移瘤待排,行能谱CT检查。
CT图像

图1:左肾占位,增强扫描皮质期不均匀明显强化,实质期持续强化,延迟期造影剂退出呈低密度,为典型肾癌的CT表现。

图2:左肾上腺见一结节灶,三期强化CT值分别为63Hu、82Hu、91Hu,呈渐进性强化,转移瘤?原发肿瘤?

图3:能谱CT扫描,能谱曲线显示肾脏与肾上腺病变不一致,考虑为非同源性病变,肾上腺病变考虑原发病变。
病理诊断
临床价值 能谱成像的重要工具之一能谱曲线是应用能量解析的方法实现组织的单能量成像,然后将得到的单能量CT值再与其对应的能量水平之间的变化关系应用二维坐标系形成能谱曲线。 我们知道,在常规CT诊断过程中,一些不同病变或组织的CT值非常接近,形态也比较类似、难以区分。本病例使用宝石CT的分析工具能谱曲线,根据肾脏病灶和肾上腺区病变的能谱曲线进行比较分析,从而对两者是否同源作出准确判断,解决了仅能依赖形态学变化做出诊断的常规CT很难解决的棘手问题,为影像学及临床疑难病例开拓了新的思路、提供了很有价值的工具。
注:该病例来自青岛市市立医院(东院)。未经本站许可,病例不得用于商业用途的转载。
“能谱成像精彩病例展示”专栏活动详情请见:http://dwz.cn/2Rw8Ov
|