E-app
首页
学苑
医院
论坛
活动
专栏
登录
注册
论坛
›
学院
›
超声专区
0
2263
妇科盆地图片
宋珊珊
于
2014-10-14 12:01:33
[收藏本贴]
妇科_盆底_正常盆底轴平面
妇科_盆底_尿道旁囊肿(渲染模式)
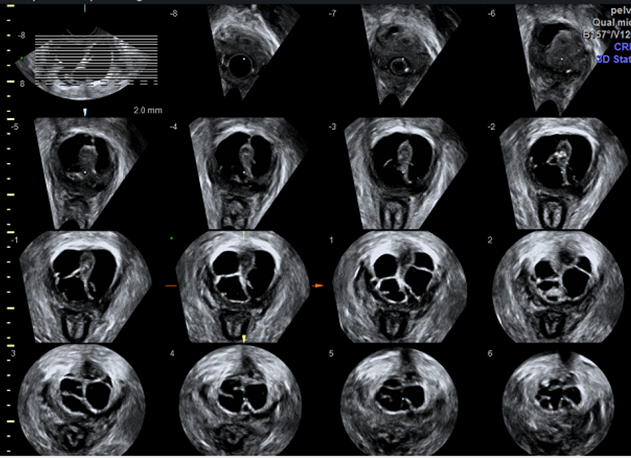
妇科_盆底_尿道旁囊肿(TUI模式)
|
回复
请
登录
后进行回复
回复
点评
评分
分享
推荐帖子
快速回复
返回顶部
返回列表