E-app
首页
学苑
医院
论坛
活动
专栏
登录
注册
论坛
›
学院
›
超声专区
0
2197
产科子宫图片
宋珊珊
于
2014-10-14 11:59:34
[收藏本贴]
产科_子宫自由解剖切面:宫角妊娠
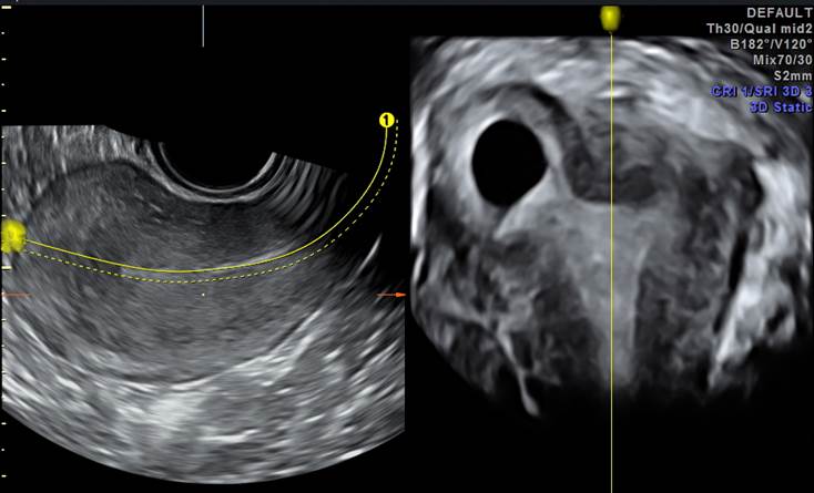
产科_子宫自由解剖切面:节育器与妊娠囊
|
回复
请
登录
后进行回复
回复
点评
评分
分享
推荐帖子
快速回复
返回顶部
返回列表