E-app
首页
学苑
医院
论坛
活动
专栏
登录
注册
论坛
›
学院
›
超声专区
0
3593
产科胎心图片
宋珊珊
于
2014-10-14 11:58:54
[收藏本贴]
产科_胎心_异位心脏:心脏外露
产科_胎心_左室流出道切面
产科_胎心_三血管切面
产科_胎心_三血管气管切面,胸腺可见
产科_胎心_主动脉弓切面
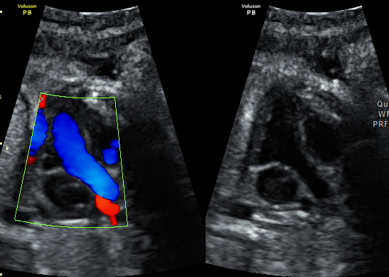
产科_胎心_主动脉弓切面
|
回复
请
登录
后进行回复
回复
点评
评分
分享
推荐帖子
快速回复
返回顶部
返回列表