|
Revolution CT全面临床解决方案之自由心率One Beat冠脉CTA成像

武汉大学人民医院放射科有一群以找到他人心结为目标的专业人士!他们一直致力于提供有诊断和治疗指导意义的CT检查,而这之中最具挑战的是冠脉CTA检查。大家一提到冠脉CTA检查,各种模糊的运动伪影及错层伪影就像阴云一样笼罩在放射科医生的心头。影像同仁十年之前都有共同的心愿:不吃降心率药物、不用屏气、不要任何准备就像常规CT检查一样能做好冠脉CTA检查该多好!所以在影像界一直把“冠脉CTA检查当作是检验一款CT是否高端的试金石!”现在您的心动时刻来临了!
武汉大学人民医院于11月刚装机的世界顶级CT—Revolution CT实现了影像同仁十多年的夙愿!最大16cm宽度探测器的超大体型能够一次曝光就覆盖完成11~14cm的心脏范围;业界最好的29ms 3D时间分辨率可以像抓拍百米冲刺的运动员那样冻结住极度不规则心律的心脏!高超过硬的技术含量,让所有的冠脉CTA都在一个心跳之中完成!您知道这意味着什么吗!就在您刚要一吸气的时候,您的冠脉CTA已经检查完了!连屏气都省啦!
接下来我们一起探秘Revolution CT的超高技术One Beat的心脏解决方案!带大家一起看看One Beat技术是如何的轻松弹指一挥间解决各种顽皮跳动的、每个人都不可再重复的各种心率/心律的冠脉CTA。那靠的可是硬本领!0.28s转速+16cm探测器宽度才能办到的。

0.28s就可围绕心脏转一圈
不说了,看图吧!

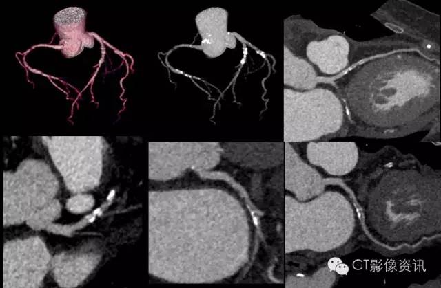
这可是85kg/170cm身高的超重大体型,他的心脏血管怎么样?非常漂亮的没有问题的血管!

这个检查只用了0.39mSv就完成啦!这可比传统CT的扫描动辄7-10个mSv的剂量低了太多!这是常规胸片剂量!Revolution CT亚mSv冠脉扫描可是常规工作状态啊!
冠脉血管问题典型表现就是左心前区的不适、憋闷,疼痛感,甚至会放射至左后背,这不,老陈就出现了明显症状,咱们来看看:

首先我们发现了一个问题,前降支血管走进了心肌中,这代表着即使没有斑块问题,在活动时也有可能出现不适的情况。但是到了Revolution CT这里,怎么会放过它哪!但是,它是不是真正引起老陈临床症状的原因?
发现了另一处病变:VR图清晰显示第二个问题:LMA与LAD交界处的狭窄

16cm的探测器覆盖完整心脏
找到病因:CPR及轴位图像清晰显示狭窄原因:斑块形成

这么宽的探测器使用的是高清的独特材质,配备匠心设计的严格3D蜂巢准直器和极简工艺的DOD系统,这保证了每一位患者完美的图像质量。
认清成分:分别测量斑块的不同密度区:发现了斑块内的平均CT值为7.5Hu,最低CT值为-19Hu,我们确定这是一个软斑块,为“易损斑块”,即是会干坏事的斑块。

小科普一下,这里说的易损斑块可是非常危险的因子,它是心血管急性事件的重要原因。相对普通CT来说,确认是它可不是一件容易的事情,但是在Revolution CT的火眼金睛下,一切干坏事的都会清楚的暴露出来的!赶紧找心内科医生吧!
以上都是常规的心率患者,心率高的患者Revolution CT表现如何哪?

同样的这样的检查在探测器宽度不够宽的设备上需要多个心跳才能完成。而每多一个心跳的曝光,就意味着更多的辐射剂量,现在咱们的Revolution CT可以直接像做体检一样进行!One Beat不再是一个目标,是每天常规进行的检查!
Revolution CT还有一双工作站慧眼,帮我们更准确的找到很小的小斑块。提供了冠脉探针以及类血管内超声的技术,帮助我们评估斑块的类型。您看,如下的局限性的小斑块依然无所遁形!

高心率的可以一个心跳扫描完成,那心率不齐,房颤的,以往设备都做不好的能行不?您看,房颤的患者来了!

您看看这心跳的节律,一会儿53,一会儿116,让扫描老师咋办?这种极不规则的心率对常规的设备就是一场惊心动魄的挑战!假如扫描时落在低心率时,成功率比较高;假如扫描时落在高心率时,有可能不成功,假如扫描时不幸落在正在活跃的R波上,那就可能导致重做的风险!假如……,噢,现在不用假如了,我用Revolution CT就行了!
这是高血压多年的患者,血管壁发生了大量的钙化。

同时临床医生也想要了解这个有多年高血压病史的房颤患者的心功能情况和主动脉是否也有硬化,这个时候,机智灵活的Revolution CT发挥了一轴心脏扫描,快速进行螺旋扫描切换的方式,进行了主动脉CTA的检查。这给临床医生提供了非常大的帮助。

EF值为:59.9%
主动脉CTA显示清晰主动脉壁弥漫钙化。

经过8天的使用,目前我们共进行CCTA扫描114例数,其中心率低于70者仅占44例,中高心率41例,心律不齐29例。接近一半的检查对于传统不够宽度、时间分辨率不够的CT来说都面临着非常大的压力,而Revolution CT致力于解决行业面临的困境,统统卸掉其它CT的压力包袱,彻底释放,所有挑战的检查都在一个心跳之内完成,实在是惊艳了我们所有放射科的同仁!Revolution CT的极致之心果然名不虚传啊!而且更加厉害的是,这些检查减少了对患者配合度的要求,例如今天一位80多岁的老爷爷进行术前评估时,不用憋气就能进行CCTA检查,大大方便了检查者和操作者。
Revolution CT以一颗极致之心,包容您的时刻任性的心动,让临床医生洞察心机,明确决断!特别适合有各种心脏相关症状的患者进行安全、绿色的检查!心动不如行动,武汉大学人民医院放射科时刻为您准备!
注:该文章转载于《都司影像》,本文所有病例来源于武汉大学人民医院。不希望被转载的请与我们联系,我们将立即进行删除处理。
|