|

肺结节鉴别诊断
扫描和分析方法 以下病例采用宝石CT能谱成像模式(GSI)扫描,获得增强的能谱图像。通过分析不同肺结节静脉期能谱曲线形态,结合定量指标,对照病理结果,回顾性总结肺部结节能谱成像的临床意义以及能谱曲线在肺结节中鉴别要点。
肺结节能谱CT定量指标 Acad Radiol,1-8.2014 中华放射学杂志, 48 & #40;10& #41;, 832-835, 2014
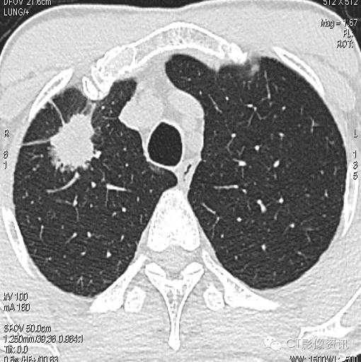
病例展示
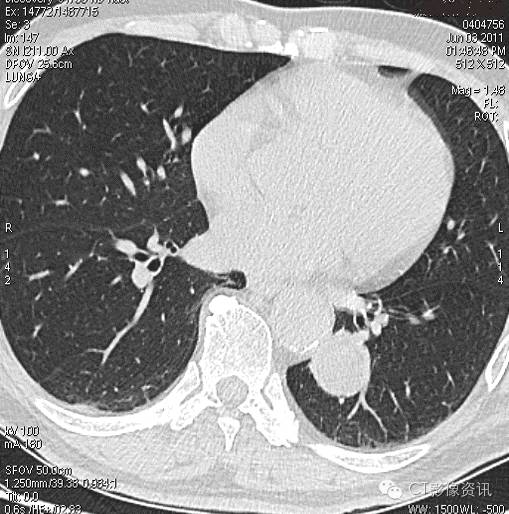
病例1


NIC结果:中央区-0.003,周围区0.29
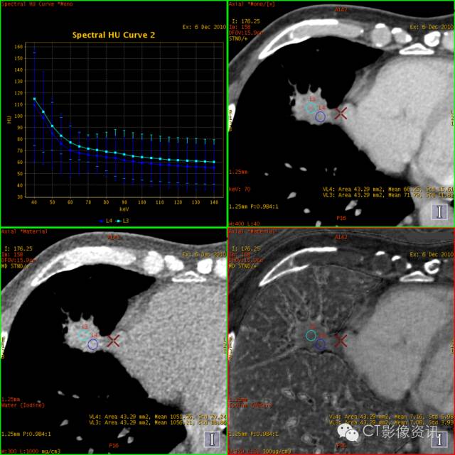
病例2


NIC结果:中央区0.37,周围区0.46
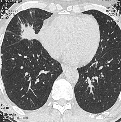
病例3


NIC结果:中央区0.17,周围区:0.12
以上病例的λHU值结果

肺结节的能谱CT鉴别诊断要点 能谱衰减曲线:以静脉期明显; 在低KeV区差异明显; 速降型——恶性、炎性,缓降型——结核、良性,平台型(反向)——囊变坏死区、脂肪; 肺癌和炎性病变中央区的NIC值具有显著的差异,因此NIC值对鉴别肺结节良、恶性病变具有高敏感性与特异性; 肺癌和炎性病变的能谱衰减曲线斜率(λHU)具有显著的差异。
结论 结合NIC值与λHU值,能谱曲线可以对肺结节病变进行有效的鉴别诊断。
注:该病例由上海交通大学医学院附属仁济医院提供。未经本站许可,病例不得用于商业用途的转载。
“能谱成像精彩病例展示”专栏活动详情请见:http://dwz.cn/2Rw8Ov
|