|
本期投票结果,您答对了吗? 1. 左侧卵圆孔异常? 2. 上图所见提示左侧脑膜中动脉缺如? 3. 左侧颈内动脉所见说明什么? 异常走行起源于颈内动脉 52票 35% 异常走行起源于颈外动脉分支 37票 25% 正常血管有一个裂口 37票 25% 在岩段水平部会有逆流 22票 15%
4. 还有什么其它发现? 永存三叉动脉 22票 15% 永存耳动脉 15票 10% 中耳血管瘤 81票 55% 永存镫骨动脉 30票 20%
5. 关于后鼓室搏动性肿块的鉴别诊断,不包括下述哪种? 面神经血管瘤 30票 20% 颈内动脉变异 52票 35% 颈静脉球裂开 44票 30% 鼓室球 22票 15%


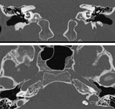
检查所见 CT图像显示明显异常,尽管所示两种异常罕见,但是该异常经常伴随发生。 首先,岩段水平部颈动脉管延长,岩段垂直部缺失。颈动脉自下方扩大的鼓室管进入并穿行中耳。鼓室段颈动脉没有骨质覆盖,并且紧贴鼓膜和听骨链。横断位图像显示出颈动脉狭窄的典型表现。 其次,起源于上颌动脉下颌支的脑膜中动脉需要穿行进入颅内硬膜外间隙的棘孔缺如。而棘孔缺如或者发育不良和第二个诊断直接相关。对CT图像进一步观察发现一个明显的软组织隆起,与右侧不对称,该隆起所在位置恰为面神经走行路径。耳蜗岬细微的侵蚀是该类病变另一种少见的异常,并且由此可能会导致感音神经性耳聋。
最终诊断:颈内动脉变异(左侧)并永存镫骨动脉
获奖名单 经过系统的随机抽取,本期获奖者为刘超老师,请刘超老师在10月23号之前尽快给我们留言,或者联系电话15201463746,并留下您的联系电话和邮寄地址,以便我们安排寄出奖品,逾期则视为主动放弃。非常感谢各位小伙伴的积极参与!
附加题 镫骨动脉是第几鳃弓的遗迹?(单选)
讨论 颈内动脉变异一旦误诊,进行任何活检、鼓膜切开术或者其他手术将可能导致严重的或者潜在的威胁生命的后果。这是一个比较少见的异常,发生率不到1%。颈内动脉第一段发育不全伴随鼓室下动脉持续代偿性扩张,该动脉是起源于颈内动脉的舌动脉残留,其穿行于下鼓室小管和颈鼓动脉下方。 不到0.5%的发病率,永存镫骨动脉比颈动脉变异少见。同样,不能确定该种异常是否会导致中耳的危险性出血。 鳃系的胚胎发育产生了6对弓和相应的动脉。原始第二弓发出舌动脉,舌动脉发出了镫骨动脉,镫骨动脉位于源头颈内动脉的附近。 镫骨动脉在出生后持续存在,脑膜中动脉起自镫骨动脉。棘孔缺如。永存镫骨动脉起源于颈内动脉岩段,通过一个骨管进入下鼓室。它向上走行于镫骨脚之间。然后与面神经伴随一小段进入面神经管。在膝状神经节,其离开面神经管,然后走向侧前方的中颅窝硬膜外间隙。
|