|
CT云课堂病例分享专栏旨在为广大医生搭建一个在线学习、交流、讨论的平台,将疑难或有一定代表性的病例的诊断分析思路、看待问题的角度,传递给医生朋友或医学生。为此,我们挑选了国外医院的一些精品病例,供大家讨论学习,定期公布答案,留言评论者将有机会赢取小奖品。欢迎广大医学影像同道参与,共同进步。


致谢:Our appreciation is extended to Dr. Salvatore Labruzzo of El Paso, TX, for contributing this case.
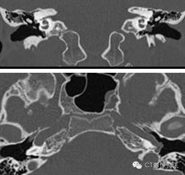
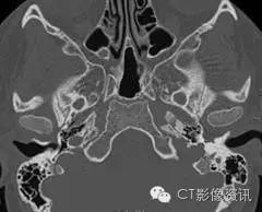
病史 10岁男孩,左侧耳聋(传导性耳聋为主)。无疼痛或者耳鸣症状。耳镜可见该患者后鼓室内有一紫色肿块并伴随鼓膜活动性下降。患者否认其它病史及肿瘤、耳聋家族史。
请您读片后思考并完成下面的问题,答对并且留言评论者将有机会获得精美小礼品哦!
1.左侧卵圆孔异常?(单选)
2.上图所见提示左侧脑膜中动脉缺如?(单选)
3.左侧颈内动脉所见说明什么?(单选) 异常走行起源于颈内动脉 异常走行起源于颈外动脉分支 正常血管有一个裂口 在岩段水平部会有逆流
4.还有什么其它发现?(单选) 永存三叉动脉 永存耳动脉 中耳血管瘤 永存镫骨动脉
5.关于后鼓室搏动性肿块的鉴别诊断,不包括下述哪种?(单选)
欲知诊断结果如何,请继续关注下一期的内容,还有附加问题哦!前几期的小礼品已经寄出了,赶快留言评论吧!
版权申明:该案例来源于网络,所有的资源均为学习、交流使用,不得用于任何商业用途。不希望被转载的请与我们联系,我们将立即进行删除处理。
|