病例资料

  患者男性,64岁,头部及左上肢电击伤13天。左上肢截肢术后残端坏死,头部挫伤,枕部创面骨外露坏死。左手残余指右足异位寄养。准备行头部及左上肢残端游离皮瓣移植。


  CT检查目的

  •   了解双侧颞浅血管状况及血管管径;

  •   了解左上肢残端血管状况;

  •   了解双侧旋股外侧动脉降支、皮肤穿支走行及管径;

  •   了解右足寄养皮瓣血管状况。


  能谱CT扫描方案

  •   扫描模式:能谱螺旋模式(GSI Helical)

  •   扫描层厚:0.625mm

  •   重建模式:标准重建

  •   扫描范围:头顶到足(患者身高175cm)

  •   造影剂方案:4.0~4.5ml/s@110ml@350mgI/ml

  •   SmartPrep法:颈总动脉监测,阈值80Hu


  双侧颞浅血管状况及血管管径


  双侧颞浅动脉在50keV显示清晰,远端分支良好。




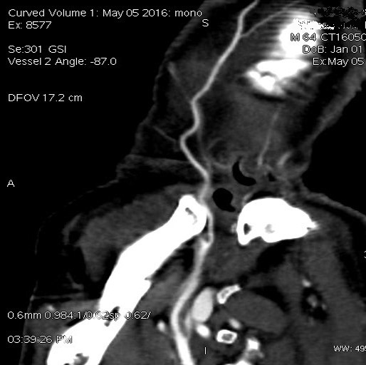
  左上肢残端血管状况


  60keV单能图像显示残端血流通畅


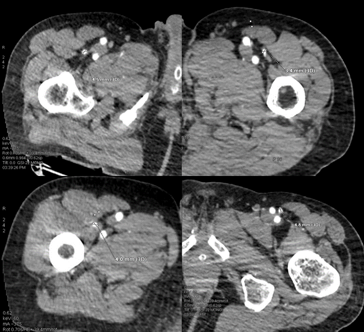
  双侧旋股外侧动脉降支、皮肤穿支走行及管径



  右足寄养皮瓣血管状况


  选择50keV进行寄养动脉观察




  能谱CT应用小结

  •   烧伤病人通常需要植皮治疗,对于皮瓣血管的观察显得尤为重要,尤其是皮瓣血管分支丰富与否对于移植皮瓣的存活非常重要。GSI单能量成像对细小血管分支的清晰观察让临床诊疗更有信心。

  •   对于全身烧伤的病人,宝石能谱CT充分展现了其独特的单能量成像魅力,40~140keV的101个单能量成像,确保末梢细小血管的观察简便而清晰。


  注:该病例由武汉市第三医院提供。未经本站许可,病例不得用于商业用途的转载。


  “能谱成像精彩病例展示”专栏活动详情请见:http://dwz.cn/2Rw8Ov


| 回复

登录后进行回复

发新帖
  • 回复
  • 点评
  • 评分
  • 分享

推荐帖子