|
本期投票结果,您答对了吗?
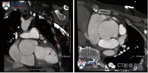
1. 图中箭头所指的部位是? 右心房 3票 2% 右心室 13票 9% 左心房 13票 9% 左心室 117票 80%
2. 这是一个需要心电门控的检查?
3. 异常的位置是在? 窦管交界处 32票 22% 右冠状动脉窦 41票 28% 左冠状动脉窦 44票 30% 无冠状动脉窦 29票 20%
4. 患者出现的心脏瓣膜杂音最有可能与下列何种原因有关? 主动脉瓣狭窄 16票 11% 主动脉瓣关闭不全 114票 78% 二尖瓣狭窄 8票 6% 二尖瓣关闭不全 8票 6%
5. 当患者出现下列何种情况时需进行手术治疗? 冠状动脉轻度压迫无心肌缺血 6票 4% 尺寸大于3厘米 89票 61% 出现心律失常 38票 26% 轻度主动脉瓣关闭不全 13票 9%



表现 回顾性心电门控冠脉CTA,可从79%期相的舒张末期图像中显示出主动脉根部扩大继发于非冠状窦瘤。扩大的窦口长径约6.4cm、横径约4.1cm。整个主动脉根部大小约6.9×7.3cm。
鉴别诊断 主动脉瘤窦 主动脉根部扩张 升主动脉瘤 冠状动脉开口处瘤
最终诊断:主动脉窦瘤--非冠状动脉窦
主动脉窦瘤诊断要点 主动脉窦位于主动脉环和窦管交界之间。 它与右冠状动脉窦,左冠状动脉窦和无冠状动脉窦都有相关联。 主动脉窦瘤相对较罕见,患病率仅有1%。 它可能是先天性(Marfan、Ehlers-Danlos等)或是获得性(感染、动脉粥样硬化、创伤等)。 先天性动脉瘤可能与其他心脏异常有关,如室间隔缺损(VSD),二叶主动脉瓣(Cogenital Bjcuspid Aortic Valve, CBAV)及冠状动脉异常。 这个疾病多见于亚洲男性。 动脉瘤可以通过超声心动图,CT血管造影,磁共振血管造影或常规血管造影进行评估。 如进行冠脉CTA首选使用心电门控以减少在主动脉根部的运动伪影,并观察是否有出现其他并发症。 它通常会表现为窦囊外翻,升主动脉和邻近主动脉根部的内径正常。 一般可无临床症状,或表现为动脉瘤破裂的症状。 对未破裂的动脉瘤的并发症包括主动脉瓣关闭不全,三尖瓣、二尖瓣关闭不全,心律失常,心室流出道阻塞,大动脉原性脑梗塞,继发于冠状动脉压迫的心肌缺血/梗塞等。 动脉瘤破裂后进入右心室比右心房多,从而导致心脏左到右分流和心脏衰竭。 动脉瘤破裂后一般需要手术治疗,通常多采用补丁修复。 对于未破裂的动脉瘤修复手术的适应症包括较复杂的并发症状,如流出道梗阻、缺血和心律失常。 目前,对未破裂的动脉瘤修复手术还没有一定的手术标准,但在修复未出现并发症的大动脉瘤时仍旧要谨慎。
参考文献 Bricker AO, Avutu B, Mohammed TL, et al. Valsalva sinus aneurysms: Findings at CT and MR imaging. Radiographics. 2010;(1):99-110. Fathala A. Depiction of ruptured sinus of Valsalva aneurysms by cardiac computed tomography angiography. Exp Clin Cardiol. 2012;(3):152-154. Hoey ET, Kanagasingam A, Sivananthan MU. Sinus of valsalva aneurysms: assessment with cardiovascular MRI. AJR Am J Roentgenol. 2010;(6):W495-W504.
|