|
CT云课堂病例分享专栏旨在为广大医生搭建一个在线学习、交流、讨论的平台,将疑难或有一定代表性的病例的诊断分析思路、看待问题的角度,传递给医生朋友或医学生。为此,我们挑选了国外医院的一些精品病例,供大家讨论学习,定期公布答案,留言评论者将有机会赢取小奖品。欢迎广大医学影像同道参与,共同进步。
致谢 Our appreciation is extended to Dr. Geraldine Liao, University of Pennsylvania Department of Radiology, for contributing this case.
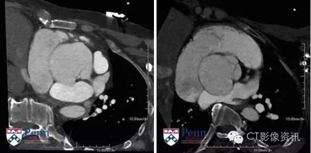
病史 53岁,男性,有心脏杂音及异常超声心动史。为了进一步评估遂转入CT室行CT血管造影。
冠脉CT图像如下




请您读片后思考并完成下面的问题,答对并且留言评论者将有机会获得精美小礼品哦!
1.图中箭头所指的部位是?(单选)
2.这是一个需要心电门控的检查?(单选)
3.异常的位置是在?(单选) 窦管交界处 右冠状动脉窦 左冠状动脉窦 无冠状动脉窦
4.患者出现的心脏瓣膜杂音最有可能与下列何种原因有关?(单选) 主动脉瓣狭窄 主动脉瓣关闭不全 二尖瓣狭窄 二尖瓣关闭不全
5.当患者出现下列何种情况时需进行手术治疗?(单选) 冠状动脉轻度压迫无心肌缺血 尺寸大于3厘米 出现心律失常 轻度主动脉瓣关闭不全
欲知诊断结果如何,请继续关注下一期的内容,还有附加问题哦!前几期的小礼品已经寄出了,赶快留言评论吧!
版权申明:该案例来源于网络,所有的资源均为学习、交流使用,不得用于任何商业用途。不希望被转载的请与我们联系,我们将立即进行删除处理。
|