|
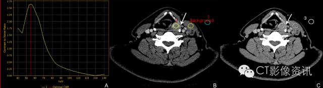
58岁男性 下咽癌患者,最佳CNR单能量55KeV是病变显示的最佳KeV。

57岁男性 喉癌患者,单能图像较混合能量图像更清晰显示较小病变(左图为常规混合能量图像)。

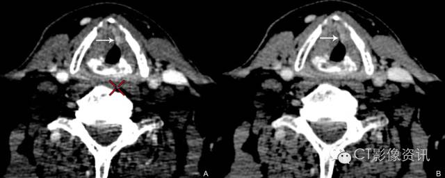
69岁女性 下咽癌患者,转移淋巴结和病变走行及斜率基本一致,正常淋巴结与前两者有明显差异,提示是不同性质的组织。

小结 我们知道,常规CT检查图像,是由混合在一起的不同能量X射线作用于人体得到的混合能量图像。因此,会有导致伪影、CT值不稳定准确及无法体现不同能量X射线影像学的特征等等弊端! 能谱CT所独有的四大工具之一的单能量工具可以获取从40KeV到140KeV之间不同X射线能量的单能图像,从而根据临床诊断不同需要选取最理想最合适的单能图像。 能谱CT四大工具中的的能谱曲线则可以反映感兴趣区(ROI)在不同KeV下CT值的变化规律,显示从40到140KeV的单能量范围内的CT值的平均值和标准差,从而反映出感兴趣区组织的病变特点和规律,为临床提供可靠的诊断依据。
注:该组病例由山东省千佛山医院提供。未经本站许可,病例不得用于商业用途的转载。
“能谱成像精彩病例展示”专栏活动详情请见:http://dwz.cn/2Rw8Ov
|