|
随着金属植入物在临床的广泛使用,放射治疗科在做CT定位时会遇到金属伪影的干扰,常见的金属伪影有人工关节、牙齿填塞物、钢钉、粒子植入等,金属伪影如果在放疗靶区附近,会使肿瘤边界显示不清楚,勾画靶区不准确;同时会影响CT值,从而使剂量计算不准确。
下面是使用Discovery CT590 RT 的Smart MAR (Metal Artifact Reduction)技术扫描的病例图像,通过对比我们发现Smart MAR技术可以抑制金属伪影,较以往更清晰显示人体结构。
牙齿填塞物

Without MAR

With MAR
Smart MAR 有效地消除了牙齿填充物导致的伪影,周边清晰,利于观察。
脊柱钢钉植入术后

Without MAR

With MAR
Smart MAR 有效地消除掉两根钢钉之间由于射线硬化效应带来的黑色条状伪影。
前列腺粒子植入术后

Without MAR

With MAR
Smart MAR 有效地消除掉由于光子饥饿效应带来的白色放射状伪影.
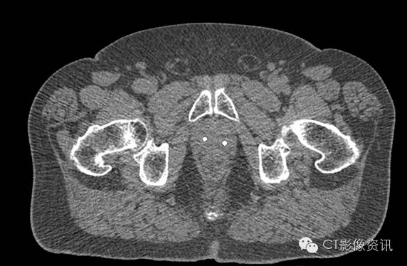
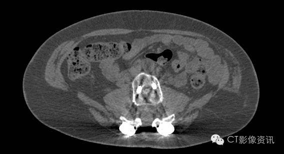
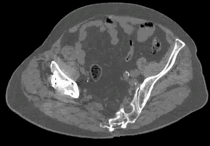
双侧髋关节置换术后

Without MAR

With MAR
Smart MAR 有效地消除了双侧髋关节置换术后的伪影,便于术后观察、复查等。
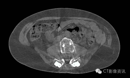
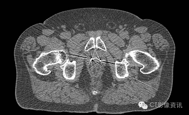
双侧髋关节置换术后

Without MAR

With MAR
Smart MAR技术可以抑制金属伪影,更清楚显示人体组织结构,更好的显示肿瘤边界,更准确的勾画肿瘤靶区,图像的CT值更准确,剂量计算更准确。
|