|
病史
CT检查

CT印象

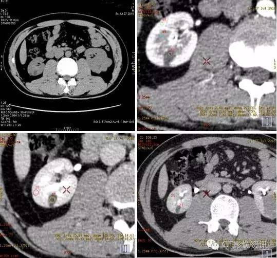
左肾病变位于左肾下极外后侧,与左肾髓质分界不清,向肾外生长并分叶。增强扫描左肾病变强化明显,皮质期病变强化程度低于左肾皮质,与左肾髓质相近,实质期及延迟期强化程度均显著低于左肾实质。

右肾病变位于右肾下极内后方,与肾实质分界清晰。增强扫描右肾病灶轻微强化,强化程度均低于右肾实质。
表一:双肾病灶及肾实质各期平扫及增强各期CT值测量结果

CT值单位:Hu 增强能谱扫描各期碘基物质图观察

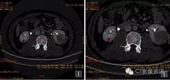
左肾病灶(红色ROI 2)基物质碘含量与左肾髓质(黄色ROI 1 )相似,与左肾皮质(粉色ROI 3)存在较大差异。 右肾病灶基物质碘含量与右肾皮质、髓质纯在较大差异。且左、右肾病灶基物质碘含量明显不同。(见表二)



左、右肾病灶及肾实质基物质碘含量明显不同,其基物质碘含量亦不相同。(见表二)


左、右肾病灶及肾实质基物质碘含量明显不同,其基物质碘含量亦不相同。(见表二)
表二:增强能谱扫描双肾及肾实质各期碘基物质测量结果

碘基物质测量(单位:100ug/立方厘米)
能谱曲线分析

左肾病变与左肾髓质具有较一致的同源性关系;右肾病灶呈“勺”状曲线,且与左肾病灶及肾皮质、髓质存在明显差异。

左肾病灶与左肾实质存在差异;右肾病变依然呈“勺”状曲线。

左肾病灶与左肾实质存在差异;右肾病变依然呈“勺”状曲线。
病例分析
此病例为年轻男性,体检时发现双肾病变。进行CT平扫及GSI增强扫描,从病变位置、形状、增强特点可考虑左右肾为不同病变。进行能谱数据进一步分析发现,左肾病变基物质碘含量及能谱曲线与左肾髓质相似(皮质期明显),右肾病变基物质碘含量及能谱曲线与肾实质及左肾病变存在较大差异,并且右肾病变在三期增强扫描能谱曲线均为“勺”状,提示其中含有脂肪成分。综合以上参数考虑,左肾病变与左肾髓质关系密切,右肾病变含脂肪成分,趋向于错构瘤。基本排除左右肾病变为同一病变。
小结 肾脏GSI扫描能谱数据分析,在传统增强CT单一参数(CT值)基础上,增加基物质碘含量、能谱曲线等多参数分析,可以为病变诊断提供更多证据,使影像诊断更深入精细,为临床提供更佳诊断依据。
注:该病例由濮阳市清丰县人民医院提供。未经本站许可,病例不得用于商业用途的转载。
“能谱成像精彩病例展示”专栏活动详情请见:http://dwz.cn/2Rw8Ov
|