|
心意随形,形随心动 ——D4D “随心呼”精准确定肿瘤放疗范围
前言:4D-CT(四维CT)出现以前,对随呼吸运动的胸腹肿瘤进行放疗计划设计时,为确保靶区不会因患者呼吸运动而漏照射,通常会扩大照射范围,这样势必会增加正常组织的受照剂量和毒副作用。4D-CT由于包含了靶区的运动信息,与放疗技术相结合,可减少受照范围、提高靶区剂量、并减少对正常组织的副作用,使肿瘤放疗的效果更佳。
过去,4D-CT扫描需要第三方呼吸监测设备配合CT扫描,增加了用户的扫描操作步骤和采购及维护成本。现在,使用GE Discovery CT 590RT的D4D技术可直接进行4D-CT 扫描和后处理,为肿瘤患者的精确放射治疗保驾护航。

Discovery CT590 RT
下面我们结合实际病例来观察4D-CT扫描的效果。
病例资料
扫描方法
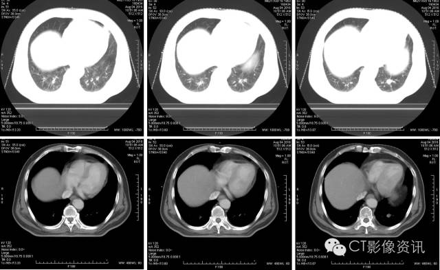
常规CT平扫


临床价值

在肿瘤最大层面测量,最大径为15.2mm。
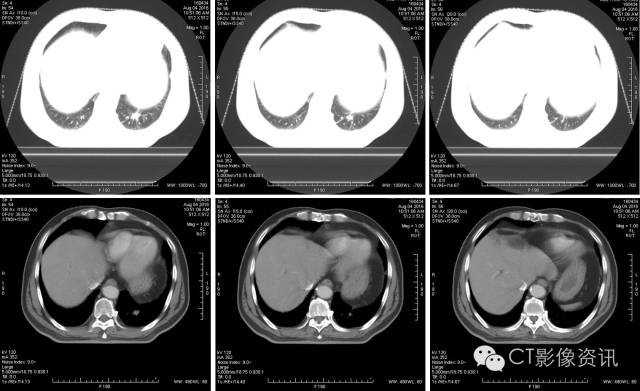
4D呼吸门控扫描


使用D4D呼吸门控扫描,可清楚观察到肿瘤本身随呼吸周期运动的情况。
A4D软件测量

呼气末

吸气末
使用A4D软件测量,肿瘤随呼吸周期的运动幅度近24mm。
扫描结束之后,使用Advantage 4D软件可把图像分成10个呼吸期相,生成MIP图、AveIP图和minIP图。使用Advantage SIM MD软件可以在4D运动的图像上实时勾画和修改靶区,确定肿瘤ITV,比过去凭经验外扩范围的方式,可更精确的确定肿瘤放射治疗的范围。此外,在Advantage SIM MD上勾画的靶区文件为RT DICOM格式,可以发送给TPS(放疗计划系统),TPS不仅可以读取,如有需要还可进行编辑。
|