|
原发性肝癌,是我国高发且危害极大的恶性肿瘤。
随着MSCT扫描技术的广泛应用,我们对原发性肝癌的CT表现有了更加深刻、准确的了解,尤其是小肝癌CT诊断的准确率有了突飞猛进的发展。
但是,在临床诊断过程中我们会发现,典型的肝癌CT增强表“快进快出”,会受到诸多因素的影响,比如造影剂注射速率等。
随着能谱成像技术在临床上的应用深入,摈弃了诸多因素的影响,对肝脏结节性质的判定有其特有的优势。
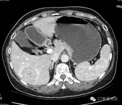
病史 女性,57岁,体检发现肝脏病灶,为明确病灶性质行CT增强检查。
扫描参数
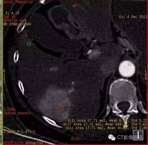
各期扫描及CT值测定 平扫

病灶内CT值:55.13
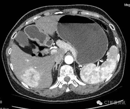
动脉期

病灶内CT值:160.26
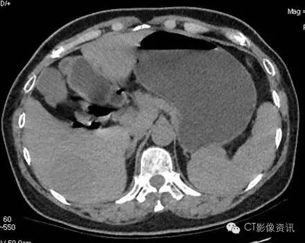
静脉期

病灶内CT值:144.22
肝脏是双血供器官,血液循环十分丰富,肝动脉供应全肝血流量的25~30%,为肝营养血供,门静脉供应70~75%;原发性肝癌血供与正常肝实质相反,其供血全部或大部分来自肝动脉,较少来自门静脉。
CT增强呈“快进快出”是原发性肝癌的典型强化特征,此影像学表现正是基于上述血供特点。
但值的注意的是,在CT增强扫描的过程中常常受到诸多因素的影响,如注射造影剂时间过长,就会造成动脉期和门脉期的分界不明显,使得影像学表现并不典型,往往给临床诊断带来一定的难度。
动脉期和门脉期碘基图碘含量测定
动脉期

病灶中心碘含量:30.68 主动脉碘含量:144.29 肝组织碘含量:8.03
门脉期

病灶中心碘含量:27.48 门脉碘含量:63.55 肝组织碘含量:27.10

物质分离碘(水)基像充分表现了碘密度变化的特点,不再仅局限于“快进快出”的表现,而是通过定量分析,有效避免了诸多复杂因素的影响,更加有利于原发性肝癌的定性诊断。
VR图像清晰显示病灶的供血动脉


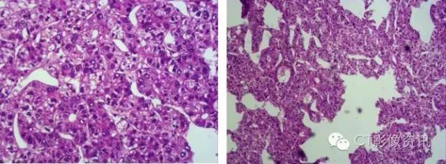
病理描述

肝细胞80%以上区域水样变性,无明显肝硬化征象;无明显假小叶结构,正常的肝索肝窦显示不清,局部可见假腺样改变。
病理诊断:中分化肝细胞肝癌。

患者术后病理确证为肝细胞肝癌
小结 典型的肝癌CT增强表现,会受到诸多因素的影响,比如造影剂注射速率等。物质分离碘(水)基像充分表现了碘密度变化的特点,不再仅局限于“快进快出”的表现,而是通过定量分析,有效避免了诸多复杂因素的影响,更加有利于原发性肝癌的定性诊断。
此外,使用单能量低keV图像观察,更有利于肝癌供血小血管的显示。
注:该病例来自陕西中医学院附属医院。未经本站许可,病例不得用于商业用途的转载。
“能谱成像精彩病例展示”专栏活动详情请见:http://dwz.cn/2Rw8Ov
|