|
本期投票结果,您答对了吗? 1. 冠状动脉广泛扩张?
2. 右侧冠状动脉起源处有大于70%的狭窄吗?
3. 病例显示属于哪一种冠脉异常?
4. 上述的异常是恶性的吗?
5. 下列哪种冠脉解剖的描述更符合患者症状? 左侧冠状动脉优势 46票 38% 右侧冠状动脉优势 46票 38% 存在中间支 28票 24%
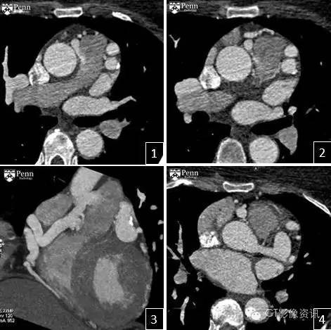
冠状动脉CTA图像如下

表现 回顾性心电门控冠脉CTA,在轴位图像(图1、2)和冠状位最大密度投影图像(图3)均显示了右侧冠状动脉起源于肺动脉主干的异常。左侧冠脉主干显著扩张增粗(图4),因为左侧冠脉的分支对右侧冠状动脉分支建立了侧支循环代偿。右侧冠状动脉没有明显的狭窄与心肌桥存在。左心室肥大,左室射血分数为55%。
鉴别诊断 右侧冠状动脉起源肺动脉异常(ARCAPA) 左侧冠状动脉起源肺动脉异常(ALCAPA) 双侧冠状动脉起源肺动脉异常 冠状动脉瘘
最终诊断:右侧冠状动脉起源肺动脉异常(ARCAPA)
获奖名单 经过系统的随机抽取,本期获奖者为姬少飞老师,请姬少飞老师在8月29号之前尽快给我们留言,或者联系电话15201463746,并留下您的联系电话和邮寄地址,以便我们安排寄出奖品,逾期则视为主动放弃。非常感谢各位小伙伴的积极参与!
附加问题 1.下述哪个冠脉异常最常见?(单选) 右侧冠状动脉起源肺动脉异常(ARCAPA) 左侧冠状动脉起源肺动脉异常(ALCAPA) 双侧冠状动脉起源于肺动脉 副冠状动脉起源于肺动脉
2.胎儿期的循环,右侧冠脉的异常不产生循环灌注异常,因为肺血管的阻力低?(单选)
3.下述哪种异常更容易导致患者心脏猝死?(单选)
4.下列哪种情况是ARCAPA患者最少见的症状?(单选) 中等量的冠脉侧支存在盗血现象 大量的冠脉侧支循环建立存在 并发肺动脉狭窄 双侧冠状动脉从均从肺动脉起源
右侧冠状动脉起源肺动脉异常(ARCAPA)要点:
病理生理学 (一)胚胎学 1、冠状动脉的胚芽在第12天的时候出现,继而动脉干分裂,分别形成主动脉与肺动脉。 2、冠状动脉发育异常是因为:动脉干的分隔旋转不良;冠状动脉胚芽位置不正。 3、冠状动脉发育异常的发病率依次如下: 左侧冠状动脉起源肺动脉异常(ALCAPA,也叫作Bland-White-Garland综合征)。 右侧冠状动脉起源肺动脉异常(ARCAPA),比ALCAPA少见,因为右侧冠状动脉胚芽距离肺动脉更远一些。 双侧冠状动脉起源于肺动脉异常。 副冠状动脉起源于肺动脉。
(二)血流动力学 1、胎儿循环:因为肺血管阻力较高,血流从肺动脉流入异常的右侧冠状动脉。 2、新生儿循环: A. 出生之后,肺血管阻力下降,结果从异常起源的右侧冠状动脉的血流向肺动脉内灌注持续增加。 B. 临床症状取决于冠状动脉侧支循环建立的程度: a& #41; 大量的侧支循环能够保证血流的充足灌注。 b& #41; 较少的侧支循环会导致盗血现象。 c& #41; 侧支循环不足会导致局部缺血和潜在的致死风险。 C. 另外一些侧支血管的异常会导致心肌缺血风险的增加。 D. 左侧冠脉优势型的患者较少产生严重并发症。
(三)相关的心脏异常 有25%~30%的病例发生在:Fallot四联症、主动脉瓣狭窄、间隔缺损、主动 脉缩窄。
流行病学
临床表现
影像学征象-冠状动脉CTA 右侧冠状动脉由肺动脉发出。 侧支循环会导致左、右冠状动脉冠的分支扩张。
鉴别诊断 左侧冠状动脉起源肺动脉异常(ALCAPA)。 双侧冠状动脉起源肺动脉。 冠状动脉瘘。
治疗
参考文献 Bansal M, Golden AB, Siwik E. Images incardiovascular medicine. Anomalous origin of the right coronary artery frompulmonary artery with ostial stenosis. Circulation. 2009;120(23):e282. Gupta R, Marwah A, Shrivastva S. Anomalous origin of right coronary artery from pulmonary artery. Ann Pediatr Cardiol. 2012;5(1):95-96. Williams IA, Gersony WM, Hellenbrand WE. Anomalous right coronary artery arising from the pulmonary artery: A report of 7 cases and a review of the literature. Am Heart J. 2006;152(5):1004e9-17.
|