|
CT云课堂病例分享专栏旨在为广大医生搭建一个在线学习、交流、讨论的平台,将疑难或有一定代表性的病例的诊断分析思路、看待问题的角度,传递给医生朋友或医学生。为此,我们挑选了国外医院的一些精品病例,供大家讨论学习,定期公布答案,留言评论者将有机会赢取小奖品。欢迎广大医学影像同道参与,共同进步。
Our appreciation is extended to Dr. James X. Chen, University of Pennsylvania Department of Radiology, for contributing this case.
病史 男,46岁,轻微胸痛伴有不典型的心电图改变。心电图表现为:持续性R波低平,ST-T波异常。
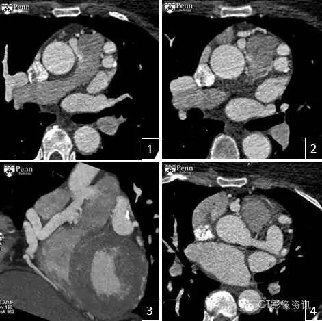
冠状动脉CTA图像如下:

请您读片后思考并完成下面的问题,答对并且留言评论者将有机会获得精美小礼品哦!
1.冠状动脉广泛扩张?(单选)
2.右侧冠状动脉起源处有大于70%的狭窄吗?(单选)
3.病例显示属于哪一种冠脉异常?(单选) 左侧冠状动脉起源于肺动脉异常(ALCAPA) 右侧冠状动脉起源于肺动脉异常(ARCAPA) 先天性左侧冠状动脉开口狭窄 右侧冠状动脉心肌桥 左侧冠状动脉离断
4.上述的异常是恶性的吗?(单选)
5.下列哪种冠脉解剖的描述更符合患者症状?(单选)
欲知诊断结果如何,请继续关注下一期的内容,还有附加问题哦!前几期的小礼品已经寄出了,赶快留言评论吧!
版权申明:该案例来源于网络,所有的资源均为学习、交流使用,不得用于任何商业用途。不希望被转载的请与我们联系,我们将立即进行删除处理。
|