|
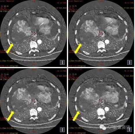
病例资料 女性,51岁,食欲下降5个月,上腹不适3个月。
扫描参数
造影剂注射方案
70keV

碘(水)

碘基图像对肝脏结节的血供显示更敏感,碘基图上我们可以看到更多清晰的小病灶。

分别测量并计算正常肝脏及病灶在动脉期及门脉期的肝动脉碘分数(注1)及门脉碘含量(注2),结果见下表。

AIF肝脏=5.51/18.53=0.3;PVIC肝脏=18.53-5.51=13.02 AIF病灶=35.65/23.92=1.5;PVIC病灶=23.92-35.65=-11.73
注: 1、肝动脉碘分数AIF(ArterialIodine Fraction)=碘含量(动脉期)/碘含量(门静脉期) 2、门静脉碘含量PVIC(Portal VenousIodine Concentration)=碘含量(门静脉期)-碘含量(动脉期)
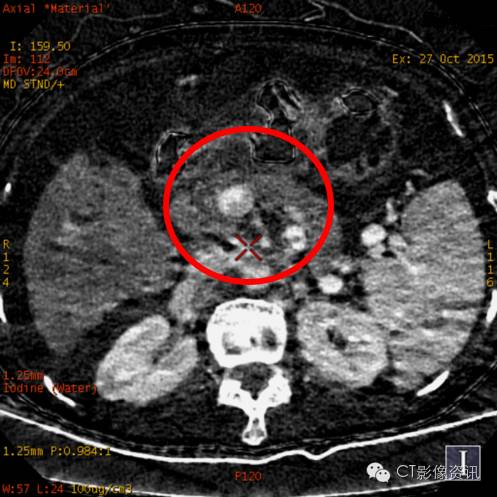
门静脉癌栓的显示
常规图像69keV

60keV

碘基图像

门静脉显示在60keV对比度更高,碘基图对含碘的结构显示非常敏感。
癌栓定量分析

动脉期碘基值(9.5~12.88)
栓子定量分析

门静脉期碘基值(31~36)
CT诊断
小结 肝脏具有肝动脉和门静脉双重血供特点,肝硬化时由于门脉压力升高,导致门脉血供减少,为保证肝脏的营养肝动脉供血相对增加即肝动脉缓冲效应(Hepatic Arterial Buffer Response,HABR),以致肝脏的双重血供比例失调。 能谱CT可以实现物质分离功能,能够直接测量肝脏增强扫描各期肝实质的碘含量,并可计算出肝动脉碘分数(Arterial Iodine Fraction,AIF)与门静脉碘含量(PortalVenous Iodine Concentration,PVIC)。本例通过肝脏病变血供情况的定量分析,提供更多诊断信息。
注:该病例来自番禺中心医院。未经本站许可,病例不得用于商业用途的转载。
“能谱成像精彩病例展示”专栏活动详情请见:http://dwz.cn/2Rw8Ov
|