|
凭借肉眼猜猜看, 这具木乃伊性别是男是女,你造吗? 虽然50%的几率可以猜对, 但更多的时候会出现“乌龙”事件。

1909年,美国阿尔巴尼历史与艺术学院收藏了一具木乃伊。但在此后的一百年间,人们一直认为“她”是来自古埃及第二十一王朝(公元前1069—945年)的一具女性木乃伊。
本世纪初,埃默里大学的埃及古物学者Peter Lacovara 访问了这家学院,发觉此事有蹊跷……他感觉这具木乃伊并不在最初埋葬“她”的棺材里,对其性别产生了怀疑。在科技不发达的过去,木乃伊性别推断错误的乌龙事件在博物馆也不是没有发生过,Peter Lacovara提议采用科学方法重新鉴定,使用GE CT机进行扫描。

全方位的检查证实了他的猜测,这具木乃伊有男性的骨骼结构。研究人员还注意到一个细节,木乃伊右侧身体更有肌肉。比对棺木上的记载,研究人员最终确认了木乃伊的身份——卢克索神庙附近的一位祭司和雕塑家,他叫Ankhefenmut,50岁左右离世。
科技让这位祭司重获男儿身份,GE使用医学技术帮助历史学家扫描识别木乃伊的历史可以追溯到1939年。

1939年,纽约世界博览会上GE医疗扫描仪制作的木乃伊X射线图像
70多年过去之后,技术的进步让CT扫描的画面已经清晰到了这样……

头骨和颈动脉扫描图
这张成像来自GE推出的Revolution CT,它将能谱、宽体、速度三合为一,整合CT设备速度、覆盖范围和图像分辨力三大要素于一身。多种方法,一个目的——让扫描体验更友好。
它的扫描过程也会更安静,噪音更低,机器内部图案有利于患者放松,减少焦虑情绪。小朋友会更受益于这种无需镇定剂、对屏息要求较低的扫描过程——妈妈再也不用担心我检查时,又哭又闹或者干脆跑掉了。
Revolution CT已经于2015年在中国上市了,可别一言不和就想去挖一个木乃伊扫描试试啊?哈哈,不过可以让你院入手一台尖端CT,帮助更多患者提高就诊体验,这到是个不错的选项。
下面附赠两张高能图你们感受一下。

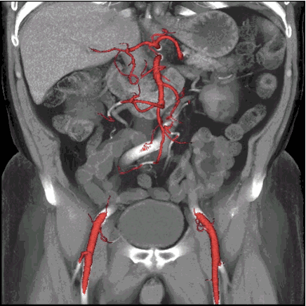
腹部和主动脉扫描图

头骨和帮助将血液供应到大脑的Willis环
可不仅仅是这位木乃伊大叔需要CT机,在中国CT扫描的需求也相当之大。
中国目前拥有的医疗CT扫描仪数量位居全球第一,高达2万台——占到全球的38%。这个数字的背后是中国正在推进着城镇化的医疗改革,而GE医疗也正在用本土化的思维去跟进中国速度。
不要以为GE医疗只有CT扫描设备哟,GE医疗的家族可是非常庞大。GE医疗集团涉及医学成像、软件和信息技术、患者监护和诊断、药物研发、生物制药技术、运营解决方案等多个领域。
所以你看,连木乃伊是大叔还是大妈GE医疗都搞定了,还有什么是它做不到的呢。如果有,GE医疗也会全力以赴的。

|