|
本期投票结果,您答对了吗? 1. 图示各期表现,提示病灶为出血性? 2. 病灶边缘呈不连续强化? 3. 最可能的诊断是? 脓肿 5票 4% 海绵状血管瘤 97票 78% 局灶性结节性增生 14票 11% 转移性病灶 2票 2% 肝细胞癌 6票 5%
4. 应当进行活组织检查以进一步明确诊断? 5. 下述哪项与上述病灶相关? 随年龄增加病灶逐渐增大 62票 50% 与雌激素的作用有关 40票 32% 原发性硬化性胆管炎 16票 13% 过量的辐射暴露 6票 5%
CT征象与诊断

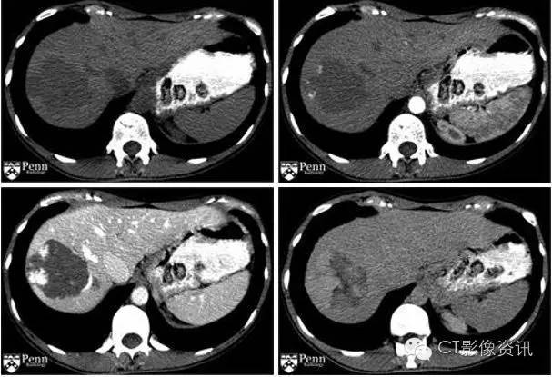
征象 CT平扫表现为右肝顶6cm低密度病灶,增强早期(动脉期)呈边缘结节状强化,并且随增强时间的延长,造影剂向中心逐渐填充。
鉴别诊断 海绵状血管瘤 局灶性结节性增生 高血运转移瘤 肝细胞癌 肝腺瘤 肝脓肿
最终诊断:海绵状血管瘤
获奖名单 经过系统的随机抽取,本期获奖者为增华老师,请增华老师在7月29号之前尽快给我们留言,或者联系电话15201463746,并留下您的联系电话和邮寄地址,以便我们安排寄出奖品,逾期则视为主动放弃。非常感谢各位小伙伴的积极参与!
临床概述 海绵状血管瘤是最常见的肝脏良性肿瘤。 海绵状血管瘤通常无症状,一般是被意外发现。 海绵状血管瘤最好发于30~50岁女性。 尽管雌激素的存在以及高雌激素状态(例如:怀孕)被普遍认为是与肝腺瘤密切相关,但是它(雌激素的存在以及高雌激素状态)也被认为与海绵状血管瘤体积的增大以及数量的增加有关系,这些病灶会随着雌激素水平的降低而减小甚至消失。 当患者有症状时,右上腹的腹痛和腹胀最常见的主诉。 并发症最常见于大于5cm的巨型血管瘤;相对于巨型血管瘤,小的血管瘤则很少有并发症 这些并发症包括:炎性变化、肿瘤内出血、腹腔内出血以及一些外生性血管瘤可能引起的肠扭转。 卡-梅氏综合征,也称血管瘤-血小板减少综合征,是血管瘤的另外一个潜在的并发症,这是一种伴有血管内凝血、结块以及肿瘤内纤维蛋白溶解的消耗性凝血性疾病。
CT征象 在平扫图像上,海绵状血管瘤表现为圆型的或者有分叶的、边界清楚的低密度病灶。 在增强图像上,海绵状血管瘤通常(在增强早期)表现为边缘的结节性或者不连续性强化,在延时期图像上呈向心性填充。 这种强化征象是由于造影剂通过多重供血血管进入病灶,并且慢慢的填充而造成的。 一些区域几乎没有强化,可能是因为存在瘢痕性或者囊液性病变。 在大于3cm的海绵状血管瘤中,病灶中心瘢痕形成是典型的表现,这可能是由肿瘤中心局部缺血或者出血造成的结果。 巨型海绵状血管瘤也可能由于局部血栓形成而表现为不均匀强化。
治疗 肝脏海绵状血管瘤通常大小比较稳定,大于5cm的病灶不排除迅速增大的可能。 活组织检查有可能导致致命性出血,而且对于诊断没有帮助。 对于没有症状的肝脏海绵状血管瘤,损伤性的处理的风险性要大于它可能带来的好处;即使对于有症状的病灶,据报道也有多达25%的患者在病灶手术切除后,症状依然存在。因此,必须先进行调查,排除其它可能引起症状的病因,然后才考虑处理血管瘤。
参考文献 Prasanna PM, Fredericks SE, Winn SS, Christman RA. Best cases from the AFIP: Giant cavernous hemangioma.Radiographics. 2010;30(4):1139-1144. Vilgrain V, Boulos L, Vullierme MP, Denys A, Terris B, Menu Y. Imaging of atypical hemangiomas of the liver with pathologic correlation. Radiographics. 2000;20(2):379-397.
|