|
RT微课堂 了解我的人都说我像美国队长,回头看看我的成长历程,我觉得我比美国队长更优秀。美国队长变身之前虽然不善于打斗,但他坚韧,勇敢,正直,这些品质是取得博士信任,对他进行人体改造的根本原因;而我,我的前身是Lightspeed,拥有纯正GE血统的明星产品,我在出身上比美国队长强。

Discovery CT 590 RT
我不甘于只在影像科服务,我希望可以去更多的科室,我的主人知道我的想法后,对我进行了一系列改造和升级,让我脱胎换骨,成了CT队伍中的大块头,成了朋友眼中的美国队长。
于是,我可以走进更多的科室,当然我的老家影像科,我也是常回来看看,我可以达到和诊断CT一样的空间分辨率和密度分辨率,因为我有一颗强劲的心脏,一天轻松完成百余例患者扫描。
在放射治疗科,我可以进行放疗患者CT定位扫描,我可以不依靠第三方厂家,自己做四维呼吸门控扫描,我可以自动去除患者金属伪影,我的老搭档SIM兄弟可以自动勾画正常器官外轮廓,支持在四维CT图像上实时定义修改结构,可以存储为RT DICOM格式发送给TPS。

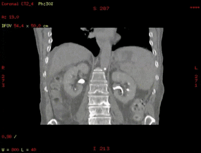
D4D可独立完成四维CT扫描,简化扫描流程效率更高


上下运动


椭圆形运动轨迹
Smart D4D:腹部4D成像
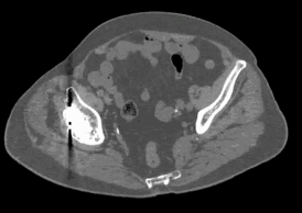
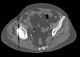
Without MAR
With MAR
在介入手术室,我可以完成肿瘤患者的氩氦刀治疗、粒子植入放射治疗,医生们通过选购的配件,可以在手术室直接操控CT,实时看到CT图像和MPR图像,从而更快更准确的完成手术。
现在,我的改造还在持续进行中……未来,我会有更多的本领,我要走进更多的科室,做更多的事情。
|