|
本期投票结果,您答对了吗? 1. CT显示骨密度病变呈不均匀分布? 2. 骨病变有大范围转移? 3. 根据上面的影像,下面哪个最接近患者肾功能失常的病源学分析? 常染色体显性遗传多囊肾 23票 34% 常染色体隐性遗传多囊肾 25票 37% 肾脏多囊性发育不良 12票 18% 慢性输尿管膀胱联合障碍 1票 1% 锂肾病 6票 9%
4. 下面哪个是骨病变最可能的病因? 转移性肾细胞肾癌 6票 9% 转移性前列腺癌 8票 12% 骨斑点症 46票 69% 纹状骨病 1票 1% 肥大细胞增多症 6票 9%
5. 以上骨病变的异常发生在骨的哪个部位? 四肢骨骼 39票 58% 中轴骨 24票 36% 颅骨 1票 1% 椎骨 3票 4%
分析与诊断




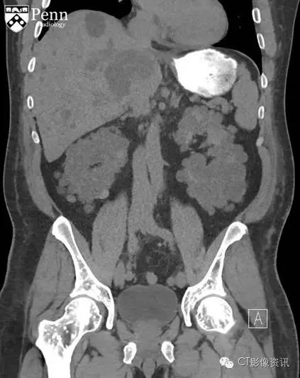
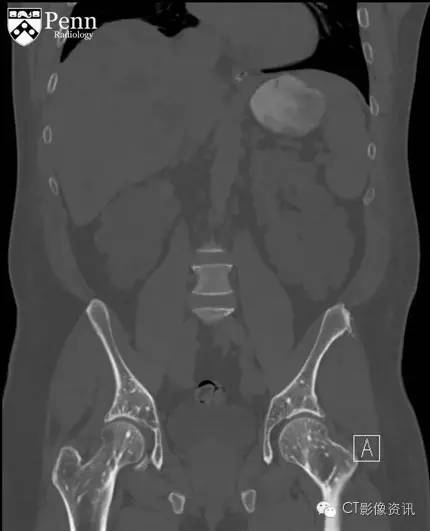
腹盆部冠状位以及轴位CT影像骨窗显示多个边界清晰的细小硬化灶呈现圆形、卵圆形以及线样;其直径从几毫米到一厘米不等,分布在股骨以及髋臼顶部;不伴有骨膜反应和骨质破坏。在软组织窗冠状位CT图像显示双侧肾影增大,伴随大量囊样密度影;此外在肝脏也可见囊样密度;可能为常染色体显性遗传多囊肾后遗症导致。
鉴别诊断 骨斑点症 纹状骨 骨样骨瘤 骨肉瘤 硬化转移 肥大细胞增多症
最终诊断:骨斑点症
获奖名单 经过系统的随机抽取,本期获奖者为樊不烦老师,请樊不烦老师在7月8号之前尽快给我们留言,或者联系电话15201463746,并留下您的联系电话和邮寄地址,以便我们安排寄出奖品,逾期则视为主动放弃。非常感谢各位小伙伴的积极参与!
附加问题 1.在骨斑点症中内生性骨疣转化为恶性骨肉瘤的几率大约是10%?(单选) 2.对于骨斑点症的疾病发展,下面哪个描述是正确的?(单选) 内生性骨疣在儿童期持续发展,到成年期病变愈合 内生性骨疣的发展从儿童到成人期病变保持稳定状态 内生性骨疣在成年期病变快速发展 内生性骨疣病变在10岁以后才能愈合
3.以下哪种模式的遗传是伴随骨斑点症发生的?(单选) 常染色体隐性遗传 常染色体显性遗传 X染色体显性遗传 X染色体隐性遗传 线粒体遗传
4.下列哪些症状与骨斑点症有关?(单选)
骨斑点症的病理生理学
发病机理
遗传学 √ 科斯综合症 √ 蜡泪样骨病 √ 纹状骨病
病因学
流行病学 在人群中,流行率仅为1:50,000。 无性别偏好。
临床表现 大多数骨斑点症患者无临床症状。 少数人表现为疼痛。 部分患者表现为皮肤纤维变性异常。
影像特征
治疗 不需要治疗。 主要诊断意义在于从其他需要治疗的骨病中鉴别。
参考文献 Korkmaz MF, Elli M, Ozkan MB, et al. Osteopoikilosis: Report of a familial case and review of the literature. Rheumatol Int. 2015;35& #40;5& #41;:921-904. Ng C, Schwartzman L, Moadel R, Haigentz M, Jr. Osteopoikilosis: A benign condition with the appearance ofmetastatic bone disease. J Clin Oncol. 2015;33& #40;18& #41;:e77-e78. Ogbonnaya A, Middleton B, CadyT, Ho C. Osteopoikilosis. Lancet. 2014;383& #40;9912& #41;:e4.
|