|
临床资料 男性,65岁,血尿3天就诊。
扫描方法 常规GSI平扫+增强,对比剂碘海醇(350mgI/100ml)80ml, 3ml/s。

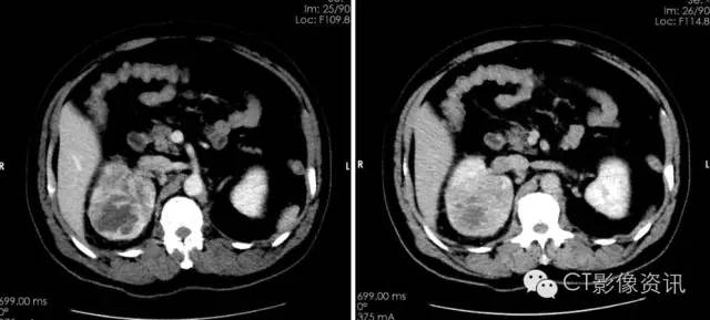
肾脏平扫:右肾上极可见混杂密度肿块影,边界模糊不清,形态不规则,未见明显钙化。

动脉期可见病灶明显强化,强化程度不均匀,实质内有低密度坏死区,边界欠清晰。

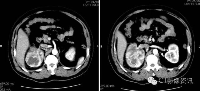
分泌期及排泄期可见病灶不均匀强化,对比与周围明显强化的肾脏组织,病灶边界清晰,实质内有不规则低密度坏死区。

右肺下叶基底段示一孤立结节,边缘清晰。

右肺结节能谱曲线与右肾上极肿块完全重合(图示为黄色和红色曲线)。
临床分析与诊断
病例小结 能谱四大工具之一的能谱曲线,可以通过比较两者曲线的斜率及走行对疑似转移病灶进行更进一步的分析,以明确是否同一来源抑或是不同性质的病变,可为临床提供更准确的判断和更多有价值的信息,从而达到诊断及鉴别诊断的目的。
临床小知识 肾透明细胞癌来源于肾小管上皮细胞的腺癌,癌中常有出血、坏死、囊变和钙化。生于肾实质内,长大后浸润、压迫、破坏肾盂肾盏,向肾包膜外发展,形成血管瘤栓或转移到淋巴结及其他脏器。肾透明细胞癌早期常无症状,或症状较隐匿。可能有轻微的发热、乏力等全身症状,肿瘤体积增大时才被发现。临床主要表现为血尿、肾区疼痛和肿块等。
注:该病例来自聊城市第三人民医院。未经本站许可,病例不得用于商业用途的转载。
“能谱成像精彩病例展示”专栏活动详情请见:http://dwz.cn/2Rw8Ov
|