|
粽子节前夕,朋友圈又迎来了新一轮铺天盖地的甜咸南北大战!同一时间,座落于六朝古都南京玄武湖畔的东南大学附属中大医院也迎来了一位盼望已久的新朋友--Revolution CT。

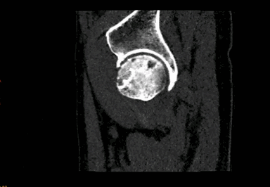
病例1:髋关节4D成像。Revolution CT 采用16cm探测器覆盖范围的连续扫描即可得到关节动态图像。此临床应用目的为鉴别撞击综合症和股骨头坏死。



病例2:男性,49岁,BMI值26.4,冠状动脉CT成像与心肌灌注检查,只需一次打药,Revolution即可完成形态学和功能学检查。
CCTA及血管分析如下:



心肌灌注分析如下:



病例3:男性,58岁,BMI值25,采用Revolution CT AEC及Auto Gating技术超低剂量扫描后ASiR-V重建成像,冠脉曝光剂量0.625mSv!




看完这些病例还不过瘾?继续关注我们的Revolution CT极致之旅。无论是冠脉联合其它部位成像,抑或是感受高心率心律不齐的极致挑战,这里都能让你过足瘾!Revolution CT,这个夏日,我们一起出发,尽释澎湃激情!
致谢:感谢东南大学附属中大医院放射科同仁提供病例。未经本站许可,病例不得用于商业用途的转载。
医院概况:

东南大学附属中大医院始建于1935年,其前身为中央大学医学院附设医院,历经第五军医大学附属医院,解放军84医院及南京铁道医学院附属医院等几个重要历史阶段。历史上名家辈出,戚寿南、姜泗长、张涤生、牟善初、阴毓璋、王士雯、贺林、杨焕明等众多院士和专家学者曾在此校园求学或执教,奠定了丰厚的文化底蕴和笃学重研的传统。经过80年的发展,现已成为集医疗、教学、科研为一体的大型综合性教学医院,重症医学科、医学影像学为国家临床重点学科。

|