|
CT云课堂病例分享专栏是《CT影像资讯》众多培训活动之一,旨在为广大医生搭建一个在线学习、交流、讨论的平台,将疑难或有一定代表性的病例的诊断分析思路、看待问题的角度,传递给医生朋友或医学生。为此,我们挑选了国外医院的一些精品病例,供大家讨论学习,定期公布答案,留言评论者将有机会赢取小奖品。欢迎广大医学影像同道参与,共同进步。
Our appreciation is extended to Dr. James X. Chen, University of Pennsylvania Department of Radiology, for contributing this case.
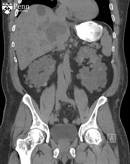
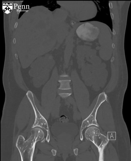
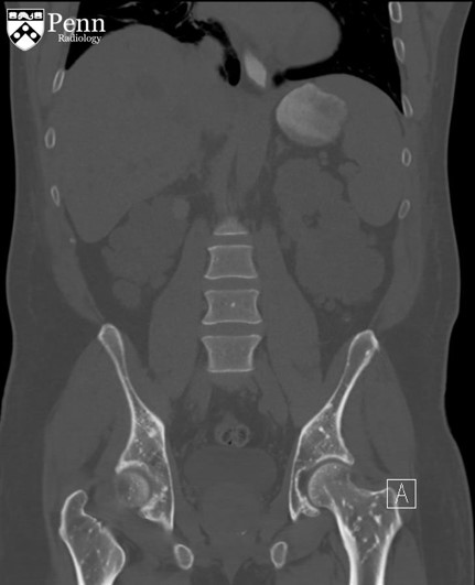
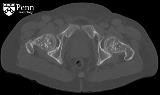
病史 男性,52岁,主诉腹部疼痛伴不明原因菌血症;患者有慢性肾病史。
腹盆CT图像如下 



请您读片后思考并完成下面的问题,答对并且留言评论者将有机会获得精美小礼品哦!
1.CT显示骨密度病变呈不均匀分布?(单选)
2.骨病变有大范围转移?(单选)
3.根据上面的影像,下面哪个最接近患者肾功能失常的病源学分析?(单选) 常染色体显性遗传多囊肾 常染色体隐性遗传多囊肾 肾脏多囊性发育不良 慢性输尿管膀胱联合障碍 锂肾病
4.下面哪个是骨病变最可能的病因?(单选) 转移性肾细胞肾癌 转移性前列腺癌 骨斑点症 纹状骨病 肥大细胞增多症
5.以上骨病变的异常发生在骨的哪个部位?(单选)
欲知诊断结果如何,请继续关注下一期的内容,还有附加问题哦!前几期的小礼品已经寄出了,赶快留言评论吧!
版权申明:该案例来源于网络,所有的资源均为学习、交流使用,不得用于任何商业用途。不希望被转载的请与我们联系,我们将立即进行删除处理。
|