|
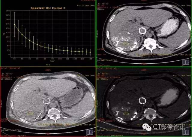
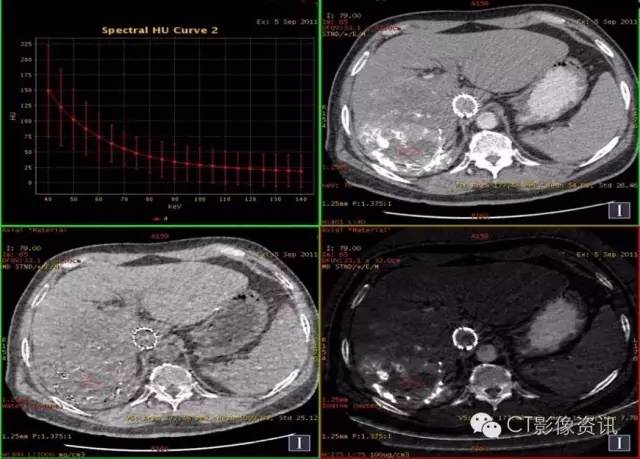
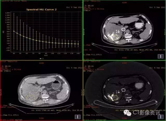
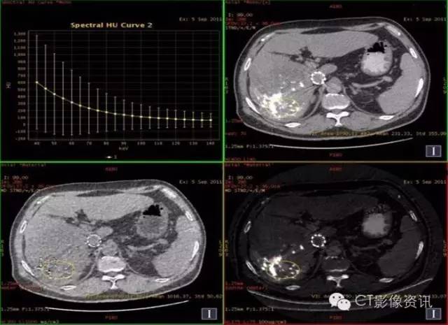
病史资料 男性,56岁,肝癌栓塞术后复查。
扫描参数 模式:GSI-22 375mA@0.7sec/rot@DC40mm@SFOV Body Large 螺距:0.984:1 平扫+增强扫描

平扫:碘9.03,水1018.90

动脉期:碘8.56,水1016.22

静脉期:碘8.25,水1016.37
缩小ROI后放在病灶碘油未沉积区比较如下:

平扫:碘2.05,水1001.88

动脉期:碘1.66,水1009.80
结论:此例平扫、增强多期碘基物质定量无显著差异。栓塞治疗效果较好。
临床优势 肝癌栓塞后,因碘油和术后炎性反应的影响,短期内难以评估手术效果。通过能谱成像GSI分析,比较增强后碘含量与平扫时碘含量(有时可用水含量)的变化及变化趋势,来判断肝癌病灶是否还有强化,评估栓塞治疗的疗效和预后,并可指导临床进一步治疗。
注:该病例来自广元市中心医院。未经本站许可,病例不得用于商业用途的转载。
“能谱成像精彩病例展示”专栏活动详情请见:http://dwz.cn/2Rw8Ov
|