|
本期投票结果,您答对了吗?
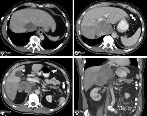
1. 肝脏可见“爪形征”? 2. 肿块位于下述哪个部位? 下腔静脉 62票 72% 肝脏 18票 21% 右心房 1票 1% 胰腺 5票 6%
3. 血栓延伸至以下哪个部位? 肝左静脉 7票 8% 肝中静脉 5票 6% 肝右静脉 46票 53% 以上都是 28票 33%
描述与诊断

下腔静脉肝内段区域可见一巨大异源性肿块。血栓延伸至右心房及肝右静脉,造成肝右叶后段灌注异常。
鉴别诊断 腹膜后肉瘤 肝细胞癌 淋巴瘤 转移性病变 肾上腺皮质癌 副神经节瘤
最终诊断:腹膜后肉瘤 该患者行CT引导下穿刺,手术病理显示恶性平滑肌肉瘤。
获奖名单 经过系统的随机抽取,本期获奖者为汪政武老师,请汪政武老师在6月9号之前尽快给我们留言,或者联系电话15201463746,并留下您的联系电话和邮寄地址,以便我们安排寄出奖品,逾期则视为主动放弃。非常感谢各位小伙伴的积极参与!
附加问题 1.腹膜后平滑肌肉瘤常累及哪个血管结构?(单选) 2.腹膜后肉瘤最常见的是哪种?(单选)
下腔静脉平滑肌肉瘤要点 平滑肌肉瘤是最常见的累及下腔静脉的原发性恶性肿瘤。 它起源于血管壁平滑肌细胞。 下腔静脉平滑肌肉瘤好发于女性。 2/3的肿瘤以腔外生长为主,1/3肿瘤向腔内生长。 腔内肿瘤会引起静脉梗阻。 影像学上肿块常表现为下腔静脉内的充盈缺损,病变呈不均匀强化,有时伴有囊性坏死。 外生性肿瘤常常侵犯邻近组织,需要与直接起源于周围器官或者腹膜后的肿瘤鉴别。 腔静脉管腔的一个细微征象提示为下腔静脉来源。注意此细微征象为如果腔静脉管壁被压迫,或者与肿块接触面最大的下腔静脉如被压迫以致看不见。 下腔静脉的受累范围是很重要的,因为肿瘤常常侵犯肾静脉和肾上腺静脉,而这个是判断肿瘤预后的最重要因素。 下腔静脉肝内段受累被认为预后最差。 治疗需要完全手术切除,包括下腔静脉切除及随后的下腔静脉移植。
参考文献 Hartman DS, Hayes WS, Choyke PL, Tibbetts GP. From the archives of the AFIP. Leiomyosarcoma of the retroperitoneum and inferior vena cava: Radiologic-pathologic correlation. Radiographics. 1992; 12(6):1203-1220. Smillie RP, Shetty M, Boyer AC,Madrazo B, Jafri SZ. Imaging evaluation of the inferior vena cava. Radiographics. 2015; 35(2):578-592. Webb EM, Wang ZJ, Westphalen AC, Nakakura EK, Coakley FV, Yeh BM. Can CT features differentiate between inferior vena cava leiomyosarcomas and primary retroperitoneal masses? AJR Am J Roentgenol. 2013; 200(1):205-209.
版权申明:该案例来源于网络,所有的资源均为学习、交流使用,不得用于任何商业用途。不希望被转载的请与我们联系,我们将立即进行删除处理。
|