病史:

M,50Y

病人主诉:腹胀、腹痛2月余


扫描参数:

模式:GSI550mA@0.8sec/rot@DC40mm@SFOV Body Large

螺距:1.375:1


造影剂注射方案:

350mgI/100ml@80ml@3.5ml/sec

Smartprep/TH150/AutoVoiceOff



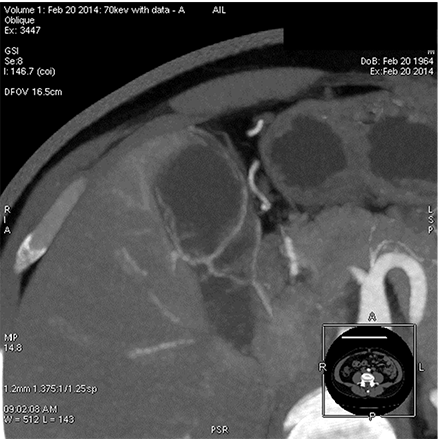
能谱 低keV图像血管成像



胆囊供血动脉   50keV


能谱 低keV图像血管成像


病例点评及临床价值:

胆囊动脉及其分支发育细小,常规CTA难以完整显示,即使提高造影剂浓度、总量及注射流率也无法来满微小动脉显示的需求,受扫描时相影响较大。


GSI扫描能使用低keV 图像满足空间分辨率和密度分辨率兼顾的要求,在常规造影剂注射方案情况下,一次扫描通过调整keV同时满足诊断及微小动脉显示需要。该方法可在临床解剖研究、病变血供发现、血管受侵状况、手术指导等方面有重要作用。


| 回复

登录后进行回复

发新帖
  • 回复
  • 点评
  • 评分
  • 分享

推荐帖子