|
前言: CT云课堂病例分享专栏是《CT影像资讯》众多培训活动之一,旨在为广大医生搭建一个在线学习、交流、讨论的平台,将疑难或有一定代表性的病例的诊断分析思路、看待问题的角度,传递给医生朋友或医学生。为此,我们挑选了国外医院的一些精品病例,供大家讨论学习,定期公布答案,留言评论者将有机会赢取小奖品。欢迎广大医学影像同道参与,共同进步。
Our appreciation is extended to Dr. Darshan R. Patel, University of Pennsylvania Department of Radiology, for contributing this case.
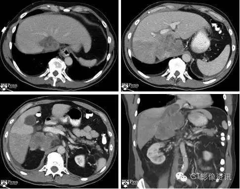
病史:64岁男性,腹痛
腹盆增强CT显示如下

请您读片后思考并完成下面的问题,答对并且留言评论者将有机会获得精美小礼品哦!
1.肝脏可见“爪形征”?(单选)
2.肿块位于下述哪个部位?(单选)
3.血栓延伸至以下哪个部位?(单选)
欲知诊断结果如何,请继续关注下一期的内容,还有附加问题哦!
版权申明:该案例来源于网络,所有的资源均为学习、交流使用,不得用于任何商业用途。不希望被转载的请与我们联系,我们将立即进行删除处理。
|
共 1 个关于CT云课堂:国外精品病例有奖问答第003期,每天更新的回复 最后回复于 2016-06-02 23:20:16