|
病史 男性,50Y
扫描参数 模式:GSI-22 375mA@0.7sec/rot@DC40mm@SFOV Body Large 螺距:0.984:1
造影剂注射方案 300mgI/100ml@60ml@4ml/sec Smartprep
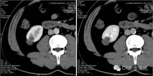
下图是横轴位5mm平扫及三期强化图像,参与病例讨论的医生半数以上认为有强化。


病灶是肯定的,讨论的焦点是有无强化,这是判断病灶性质的关键。
薄层图像三期观察,半数以上医生坚持有强化。初步诊断良性实质性占位。


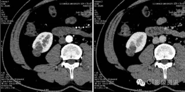
进行能谱分析,碘含量测量,三期病变内部碘含量相似,且接近0的水平,提示病变没有强化。


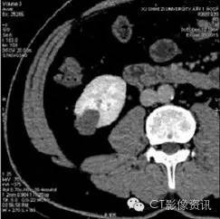
三期冠状位测量结果显示同样结果。肝实质、肾脏髓质均有明显强化。


最终诊断:肾囊肿。
讨论 能谱的功能可以解决临床中有争论或者诊断不明确的情况。尽管常规显示中似乎有强化的存在,但不能确切诊断。但该病例通过碘含量的测量,明确了病灶没有强化。为最终诊断定下根本的线索。
注:该病例来自石河子大学医学院附属医院。未经本站许可,病例不得用于商业用途的转载。
“能谱成像精彩病例展示” 专栏活动详情请见:http://dwz.cn/2Rw8Ov
|
共 1 个关于第006号病例:肾脏囊性病变鉴别的新方法探讨,每天更新的回复 最后回复于 2016-05-29 06:51:00