|
扫描参数: 模式:GSI 550mA@0.8sec/rot@DC40mm@SFOVBody Large 螺距:1.375:1
造影剂注射方案: 320mgI/100ml@80ml@3.5ml/sec Smartprep/TH120/AutoVoiceOff
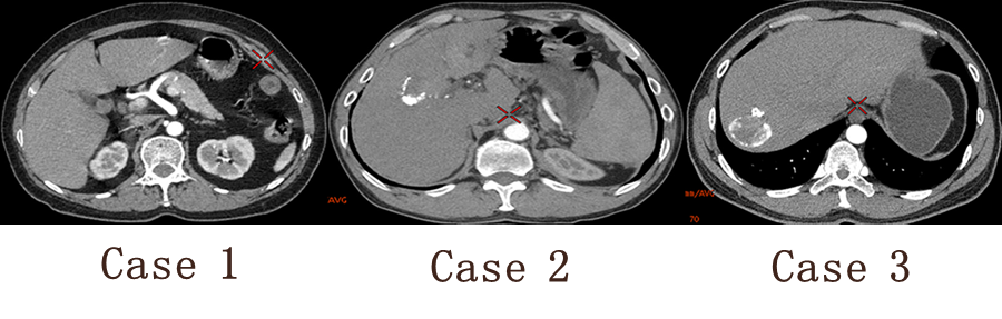
能谱CT诊断: Case 1 血管瘤 Case 2 肝癌介入术后碘油沉积 Case 3 肝包囊虫 
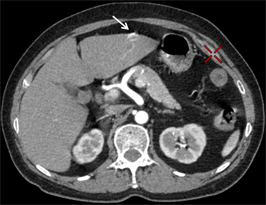
Case 1 GSI 基物质图像定性分析 
肝左叶环形高密度影 强化?环形钙化?

碘图呈高密度 水图呈低密度 提示环形高密度影为强化

碘图呈高密度 钙图呈低密度 提示环形高密度影为强化
肝左叶实质性占位性病变,考虑血管瘤 Case 2 GSI 基物质图像定性分析

肝右叶高密度影 强化?钙化?

碘图呈高密度 水图呈低密度 提示高密度影为含碘物质 
碘图呈高密度 钙图呈低密度 提示高密度影为含碘物质
肝癌介入术后随访,少量碘油沉积,病灶内部及周边有强化
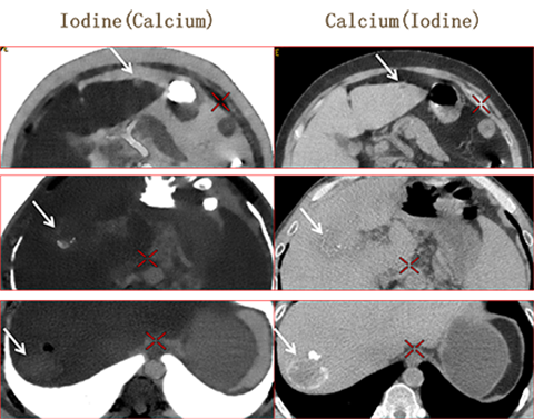
Case 3 GSI 基物质图像定性分析 
肝右叶环形高密度影 强化?钙化? 
碘图呈高密度 水图呈高密度 提示高密度影不是强化

碘图呈低密度 钙图呈高密度 提示高密度影为钙化
肝右叶实质性占位性病变,寄生虫病,肝包囊虫可能
病例点评及临床价值: 常规CT增强扫描,病灶有无强化直接影响病变的定性诊断,然而血肿、钙化在CT图像上亦呈高密度影,难以辨别,往往需要多期扫描,甚至追加平扫来加以鉴别、区分,增加患者辐射剂量。
能谱CT扫描能够获得各种基物质图像,在一期扫描中对病灶强化、血肿、钙化加以区分,满足病变定性需求,同时降低患者辐射剂量。
利用Water/Iodine基物质图像区分增强和血肿 利用Calcium./Iodine基物质图像区分钙化和增强 利用Water/Calcium基物质图像区分钙化和血肿

|
共 1 个关于图片show——能谱CT 基物质图像定性分析,每天更新的回复 最后回复于 2022-09-06 23:14:42