|
本期投票结果,您答对了吗? 1. 有一个肿块是来源于左肾上腺? 2. 有一个低密度灶的左主动脉旁淋巴结? 3. 可见到相关的腹膜后出血? 4. 根据骨转移情况、影像学表现以及病人的流行病学最有可能是以下哪个诊断? 血管平滑肌脂肪瘤 6票 6% 肾细胞癌 17票 17% 透明细胞肉瘤 41票 40% 中胚叶肾瘤 28票 27% 髓样癌 11票 11%
5. 根据影像学特点可以分辨以上疾病的第一阶段和第二阶段? 6. 以下哪项是上述肿瘤转移最常见的位置? 区域淋巴结 43票 42% 骨转移 42票 41% 肺转移 12票 12% 脑转移 1票 1% 对侧肾转移 5票 5%
检查结果及诊断

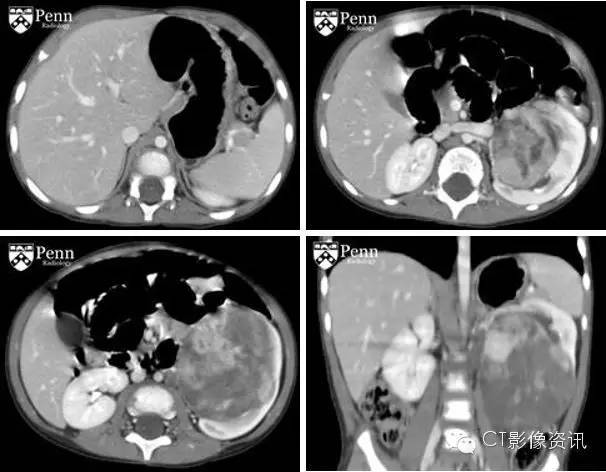
检查结果 从腹部增强CT的轴位及冠状位上可以看见一个较大、边界清晰的肿块从左肾的髓质发出并向上影响到邻近的肾实质。此肿块表现出不均匀强化,成分混杂,包括低密度灶、坏死以及囊变。从左上图可见左肾上腺外观正常未有病变。左下图可见低密度的左主动脉旁淋巴结以及相应的淋巴结转移。对侧肾脏未见肿块。
鉴别诊断
最终诊断:肾透明细胞肉瘤(CCSK)
获奖名单 经过系统的随机抽取,本期获奖者为汪政武老师,请汪政武老师在5月13号之前尽快给我们留言,或者联系电话15201463746,并留下您的联系电话和邮寄地址,以便我们安排寄出奖品,逾期则视为主动放弃。非常感谢各位小伙伴的积极参与!!
注:本活动获奖名单由《CT影像资讯》在线随机抽取,最终解释权归《CT影像资讯》所有。
附加题 1.肾透明细胞肉瘤是最常见的诊断在以下哪个年龄段?(单选)
2.以下哪些症状/条件与肾透明细胞肉瘤有很大的关系?(单选) Beckwith-Wiedemann 综合征 18三体综合征 隐睾症 交叉融合异位肾 以上都不是
3.以下肿瘤哪个是从肾髓质发生的?(单选) 肾细胞癌 肾母细胞瘤 血管平滑肌脂肪瘤 中胚叶肾瘤 肾透明细胞肉瘤
4.以下哪项是错误的?(单选) 肾透明细胞肉瘤预后比肾母细胞瘤差 肾透明细胞肉瘤比肾母细胞瘤更多见于双侧 肾透明细胞肉瘤分期是根据手术病理 发生骨转移时候是属于病变第四期
5.下列哪种化疗药物被加入患者的IV期标准治疗方案?(单选)
版权申明:该案例来源于网络,所有的资源均为学习、交流使用,不得用于任何商业用途。不希望被转载的请与我们联系,我们将立即进行删除处理。
|