|
病例资料: 女,72岁,颈部肿胀就诊
扫描方案: GSI22, 375mA@0.7s/rot@0.984:1@SFOV Large body
对比剂注射方案: 300mgI/100ml,对比剂60ml,盐水30ml,流速3.0ml/s
CT印象 右侧颈部间隙感染
能谱分析


CNR:64keV 最佳单能对比噪声信号比成像
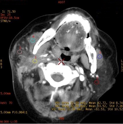
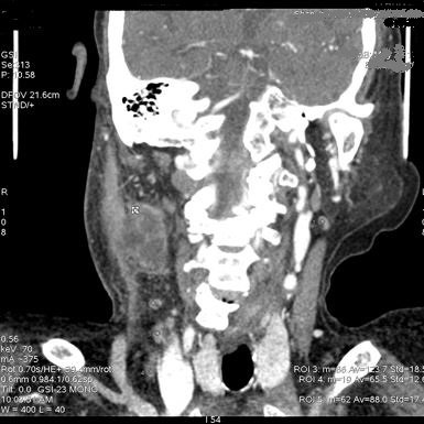
70keV

ROI 1 颈部间隙感染 ROI 2 正常腮腺内脂肪 ROI 3 受感染侵犯的脂肪间隙 ROI 4-5 双侧咀嚼肌
能谱曲线

能谱曲线:区分物质。黄色曲线代表间隙感染,与蓝色咀嚼肌曲线斜率明显不同,受感染侵犯的脂肪间隙的粉色曲线平直,与正常表达的红色反向走形的脂肪曲线明显不同。
散点图

散点图:间隙感染、肌肉、脂肪组织均成相对独立集中的表达趋势。
直方图

直方图:70keV单能量下,各个ROI面积下CT值分布的体素百分比。可见正常间隙脂肪组织CT值与感染间隙脂肪组织CT值分布明显不同;间隙感染的CT值分布与肌肉组织显著不同。
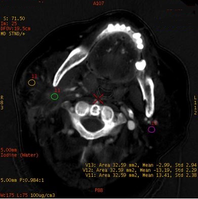
碘基图

直方图

碘基-直方图:直观显示了不同ROI面积下碘含量的差异。
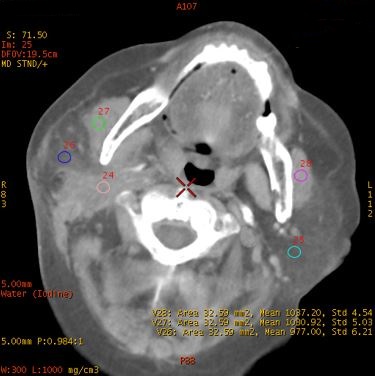
水基图

直方图

水基-直方图:直观显示了不同ROI面积下水含量的差异;感染病变侵犯的脂肪间隙的水含量高于正常脂肪间隙;感染病变与肌肉的水含量差异不大。



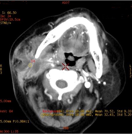
颈部间隙多发肿大淋巴结,能谱曲线表达高度相似,提示性质相同——炎性感染。
小结 1、CNR(最佳对比信号噪声比):可以准确把握颈部软组织病变的最佳单能成像; 2、能谱曲线:有助于颈部不同软组织之间性质差异的鉴别; 3、碘-水基物质分析:可对病变进行准确定量分析,同时还有助于疗效评估。
注:该病例来自上海市第九人民医院。未经本站许可,病例不得用于商业用途的转载。
“能谱成像精彩病例展示” 专栏活动详情请见:http://dwz.cn/2Rw8Ov
|