|
CT云课堂病例分享专栏是《CT影像资讯》众多培训活动之一,旨在为广大医生搭建一个在线学习、交流、讨论的平台,将疑难或有一定代表性的病例的诊断分析思路、看待问题的角度,传递给医生朋友或医学生。为此,我们挑选了国外医院的一些精品病例,供大家讨论学习,定期公布答案,留言评论者将有机会赢取小奖品。欢迎广大医学影像同道参与,共同进步。
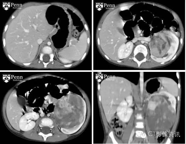
28个月大的男孩伴有腹部肿块
病史 男,28个月,一周前发现左腹部可触及明显肿块。
增强CT图像如下

CT显示在L1椎体破坏性病变(在先前的图像并未显出)
请您读片后思考并完成下面的问题,留言评论者将有机会获得精美小礼品哦!
1.有一个肿块是来源于左肾上腺(单选)
2.有一个低密度灶的左主动脉旁淋巴结(单选)
3.可见到相关的腹膜后出血(单选)
4.根据骨转移情况、影像学表现以及病人的流行病学最有可能是以下哪个诊断?(单选) 血管平滑肌脂肪瘤 肾细胞癌 透明细胞肉瘤 中胚叶肾瘤 髓样癌
5.根据影像学特点可以分辨以上疾病的第一阶段和第二阶段?(单选)
6.以下哪项是上述肿瘤转移最常见的位置?(单选)
欲知诊断结果如何,请继续关注下一期的内容,还有附加问题哦!
版权申明:该案例来源于网络,所有的资源均为学习、交流使用,不得用于任何商业用途。不希望被转载的请与我们联系,我们将立即进行删除处理。
PS:请上期获奖者马军老师尽快与我们联系,以便我们安排寄出奖品,否则将视为自动放弃,联系电话:15201463746。
|