|
CT云课堂病例分享专栏是《CT影像资讯》众多培训活动之一,旨在为广大医生搭建一个在线学习、交流、讨论的平台,将疑难或有一定代表性的病例的诊断分析思路、看待问题的角度,传递给医生朋友或医学生。为此,我们挑选了国外医院的一些精品病例,供大家讨论学习,定期公布答案,答对者有机会赢取小奖品。欢迎广大医学影像同道参与,共同进步。
第001期:黄疸
Our appreciation is extended to Dr. JamesX. Chen, University of Pennsylvania Department of Radiology, for contributingthis case.
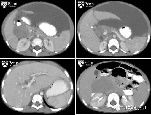
病史 女,2岁,无痛性黄疸。血清α-甲胎蛋白8500ng/mL
增强CT图像如下

请您读片后思考并完成下面的问题,答对者将有机会获得精美小礼品哦!
1.病变是肝脏原发的吗?(单选) 2.相对胰腺实质的强化程度,病变是显著强化特征吗?(单选) 3.肝脏胆管适度扩张吗?(单选) 4.可见腹膜后淋巴结肿大?(单选) 5.最有可能的诊断是什么?(单选) 胰腺癌 实性假乳头状上皮瘤 神经母细胞瘤 肝母细胞瘤 胰母细胞瘤
影像学描述 腹部及盆腔增强扫描CT发现:胰头区域一个类圆形边界清晰的肿块。最大直径112.5px,肿块成分混杂,相对胰腺实质呈低密度改变。肿瘤位于胆总管远端,导致近端胆总管适度扩张(左下图)。肝脏未见转移。左侧腹膜后一枚实性肿大的淋巴结(右下图),提示转移。中等量的腹水。
版权申明:该案例来源于网络,所有的资源均为学习、交流使用,不得用于任何商业用途。不希望被转载的请与我们联系,我们将立即进行删除处理。
|
共 1 个关于CT云课堂:国外精品病例分析第001期,每天更新的回复 最后回复于 2016-04-17 20:15:30