|
Revolution CT在小儿先心病的临床应用(上)
以小见大,见微知著 先天性心脏病是先天性畸形中最常见的一类,约占各种先天畸形的28%,指在胚胎发育时期由于心脏及大血管的形成障碍或发育异常而引起的解剖结构异常,或出生后应自动关闭的通道未能闭合(在胎儿属正常)的情形。先天性心脏病发病率不容小视,占出生活婴的0.4%~1%,这意味着我国每年新增先天性心脏病患者15~20万。
对于复杂性先天性心脏病,CT诊断有助于对心内结构观察,主要明确诊断及除外其它畸形;对心外结构,尤其是主动脉、肺动脉的异常,CT可明确诊断,诊断率优于超声心动图及心血管造影,是心血管造影的重要补充。其中CT横断扫描能够清晰显示主动脉缩窄,主动脉瓣上狭窄,动脉导管未闭,肺静脉畸形引流,段以上各级肺动脉,对检出先天性肺动脉异常或获得性肺动脉狭窄缺支肺动脉栓塞有重要价值。有利于对心腔、大动脉的方位做准确的判定,对内脏心房位、房室连接、大动脉-心室连接做准确的判定。
Revolution CT在先心病的扫描剂量、流程、成功率、图像显示方面具有很大的优势。其特点是扫描速度快,采集时间窗精准,容积增强一致,对比剂三低(低浓度、低流率、低总量),辐射剂量低,采用单心跳采集,可多次采像(例:格林术后患儿)。在此,我们将通过多个病例分期展示Revolution CT在小儿先心病的临床应用。
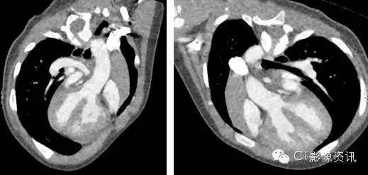
Case 1 法洛四联症 女,13 月。先天性心脏病,法洛氏四联症。
扫描协议 探测器宽度:140mm, Axial; 管电压和管电流:70kV, SmartmA; 旋转速度:0.28s/rot;迭代:ASiR-V 70%; 身高:73cm;体重:8.6kg; 对比剂:270mgI/ml, 9ml, 1.0ml/s; 扫描剂量:0.10mSv。


点评 主动脉增宽前移,骑跨于室间隔上,骑跨率约 50%。肺动脉瓣增厚,明显狭窄。主动脉、肺动脉发育差。右心房、右心室扩大。膜周部室间隔缺损,直径约 8.5mm。Revolution CT 覆盖范围大,扫描速度快,极好地避免了小儿的哭闹和移动等意外情况,并能清晰显示法洛四联症。
临床小知识 法洛四联症(Tetralogyof Fallot,TOF)是一种常见的先天性心脏畸形。其基本病理为室间隔缺损、肺动脉狭窄、主动脉骑跨和右心室肥厚。法洛四联症在儿童发绀型心脏畸形中居首位。法洛四联症患儿的预后主要取决定肺动脉狭窄程度及侧支循环情况。
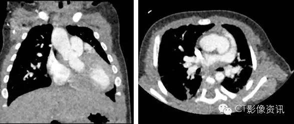
Case 2 主动脉肺动脉共干 女,3 月。 先天性心脏病,临床听诊心脏杂音。
扫描协议 探测器宽度:120mm, Axial; 管电压和管电流:70kV, SmartmA; 旋转速度:0.28s/rot;迭代:ASiR-V 70%; 身高:52cm;体重:4.0kg; 对比剂:270mgI/ml, 6ml, 0.6ml/s; 扫描剂量:0.10mSv。



点评 仅见一粗大动脉干,骑跨率约75%(大部分起自右心室)。动脉干近段左侧壁,发育好,直径约10mm。主动脉升弓部发出左肺动脉,近段节段性重度狭窄,最窄处直径约 1.3mm。
临床小知识 肺动脉发自右心室,如果肺动脉从主动脉发出,称共干畸形,根据发出部位肺动脉的情况进行分型,通常预后较差。
Revolution CT 先心病检查特点及优势
宽(256排*0.625mm, 16 厘米的覆盖宽度) 均匀一致容积增强,Z 轴方向同一心动周期同一时相采集数据,避免运动伪影及错层,有利于减少纤细 PDA肺动脉闭锁等畸形的漏诊。气管重建无错层,成像效果好。
快(转速 280ms) 扫描时间短,曝光采集时间窗更精准,对比剂注射总量减少,保护幼儿肾功能,同时避免了上下腔高密度对比剂伪影,以免干扰肺动脉和肺静脉观察。时间分辨率高,心腔内部结构显示好,检查时减少了因患儿躁动或哭闹造成失败的风险。
低管电压(70kV) 保证了低剂量,同时提高了空间分辨率,提高了碘信号的摄取率,保证低浓度低流率对比剂的使用。(威视派克 270mgI/ml)
低剂量 低管电压再加上智能管电流的应用既保证了影像诊断的可靠性,同时又保证了低剂量,保护了患儿。
致谢:感谢中国医学科学院阜外医院,未经本站许可,病例不得用于商业用途的转载。
|