|
便利万物,高低之美
春日迟迟,卉木萋萋,又到登高踏青时。又到周末,都市人在春光中迈开脚步,或登上郊外的青山远眺,欣赏群山怀抱的春光,或行走在山间田野,近嗅丛簇的繁花。高低之间,是一种奥妙的哲学。高有高的壮丽豪迈,低有低的平实美好。
随着CT设备的发展以及等渗对比剂时代的来临,Revolution CT带来了全面的低剂量技术解决方案,在保证扫描成功率高且获得高质量图像的同时,大大降低了射线剂量和造影剂用量。这个周末,让我们抛开枯燥的专业名词,跟随这些“高质量”的病例,欣赏常规化“双低”冠脉CT成像带给我们的美好。
Case 1 女性,74岁,心悸加剧1周。
扫描协议 探测器宽度:140mm, Axial; 管电压和管电流:70kV, Smart mA; 旋转速度:0.28s/rot;迭代:ASiR-V 50%;体重指数:20; 对比剂:270mgI/ml, 30ml, 4.0ml/s; 扫描剂量 :0.2mSv。
CCTA所见 LAD中段钙化斑块、LCX中段狭窄>60%、软斑块。


点评 Revolution CT有70kV、80kV、100kV、120kV及140kV多种电压选择,结合Smart mA可以实现低或超低剂量扫描。ASiR-V技术使低剂量下的图像质量得以保障。
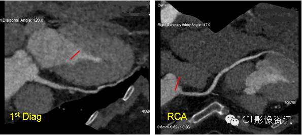
Case 2 女性,53岁,胸闷、心悸月余,高心率:90~104bpm
扫描协议 探测器宽度:120mm, Axial; 管电压和管电流:80kV, Smart mA; 旋转速度:0.28s/rot ;迭代:ASiR-V 60%;体重指数:25.14; 对比剂:270mgI/ml, 35ml, 4.5ml/s; 扫描剂量 :0.37mSv。
CCTA所见 1st Diag,RCA起始非钙化斑块,管腔轻度狭窄。



点评 Revolution CT拥有29ms的时间分辨率,配合Auto-Gating技术,实现任意心率/律下ONE BEAT成像,不仅明显降低射线剂量,还可以采用更低的造影剂用量,且得到显示清晰的冠脉图像质量,使低/超低剂量冠脉扫描成为常规临床应用。
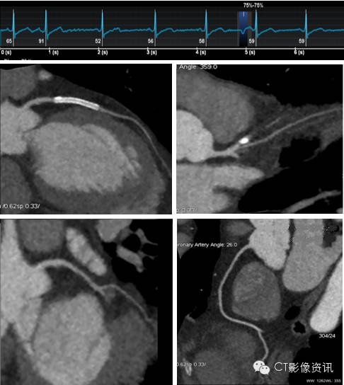
Case 3 男性,40岁,发作性心前区不适2天。
扫描协议 探测器宽度:120mm, Axial; 管电压和管电流:70kV, Smart mA; 旋转速度:0.28s/rot ;迭代:ASiR-V 50%;体重指数:22.16; 对比剂:270mgI/ml, 25ml, 4.2ml/s; 扫描剂量:0.162mSv。
CCTA所见 右冠状动脉起源变异,LAD近段非钙化斑块,管腔轻度狭窄。


点评 CT检查的安全包括X射线的辐射安全和对比剂的使用安全两个方面。人们希望在使用尽可能低的辐射剂量和低对比剂碘剂量的情况下获取临床能够接受的图像质量。这就是CT中的双低概念。
本例患者Auto-Gating技术自动推荐 ONEBEAT下 75%相位扫描,应用 Smart mA及 ASiR-V 技术实现了“双低”冠脉扫描,即低造影剂剂量和低射线剂量,且图像质量优秀,冠脉病变显示良好。本例有效剂量仅为0.162mSv。
Case 4 男性,63岁,支架术后复查。
扫描协议 探测器宽度:120mm, Axial; 管电压和管电流:70kV, Smart mA; 旋转速度:0.28s/rot ;迭代:ASiR-V 50%;体重指数:23.4; 对比剂:270mgI/ml, 25ml, 4.2ml/s; 扫描剂量:0.166mSv。


点评 冠脉支架植入是治疗冠心病冠脉狭窄的主要方法之一。Revolution CT 使用了宝石探测器、视网膜集成化数据采集系统,全新的HD 高清扫描模式,实现了0.23mm的可视空间分辨率, 最新的ASiR-V 迭代重建平台,能较好的显示支架腔内的情况,并对整个冠脉及支架做出精确评估。
迭代重建算法已经成为现代CT降低辐射剂量的重要方法。Revolution CT 采用了更为先进的ASiR-V全模型实时迭代平台, 与以往的迭代算法相比,具有更为先进的系统噪声模型、被扫描物体模型和物理模型。其优点表现在降低噪声、扫描剂量下降、密度及空间分辨率提升,以及减轻伪影。
★★★★★★★★★★★★★★★★★★★★ 上善若水,从善如流,是最好的选择, 便利万物,高低之间,科技创造美好。 ★★★★★★★★★★★★★★★★★★★★
致谢:感谢首都医科大学附属北京安贞医院、宁夏回族自治区人民医院。未经本站许可,病例不得用于商业用途的转载。
|