|
临床资料:女性,66岁,肠道间质瘤术后7个月,常规复查,超声发现肝脏多发病变,为明确病变性质进行CT增强能谱扫描。
扫描参数:GSI-22,375mA@0.7sec/rot@DC40mm@SFOV Body Large, pitch 1.375:1

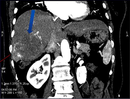
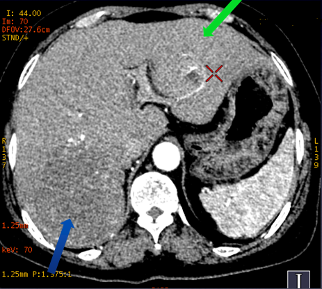
动脉期肝右叶大小相邻两个病灶,大病灶可见早期边缘强化

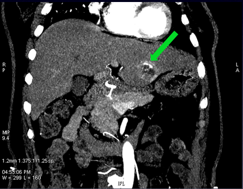
动脉期肝左叶病变,亦呈早期边缘强化

轴位图像观察到的左右叶病变
1、动脉期能谱曲线分析


肝左叶边缘环状强化部分及肝右叶小病灶具有基本一致的曲线(红/蓝);肝左叶病灶中心部分与肝右叶大病灶具有较接近的曲线(绿/粉)
2、门脉期能谱曲线分析


肝右叶两个病灶能谱曲线接近一致(绿/深蓝);病灶边缘及内部进一步强化,CT值升高,碘基图碘含量增加
3、延迟期能谱分析

左侧病灶CT值及碘含量持续升高

肝右叶两个病灶能谱曲线仍然接近一致
4、血管重建,使用49keV图像观察,显示左右叶病灶丰富的血供情况

图中红、蓝箭头显示肝左右叶病灶分别来源于肝左右动脉
5、临床分析及诊断
该患者有肠道间质瘤病史,病灶具有丰富的血供,血供来源一致,能谱分析肝左右叶病灶具有特征相似的能谱曲线,增强后不同于原发肝癌“快进快出”的强化特点,有逐渐延迟强化的趋势,考虑为肝脏的多发转移可能大。该病人于3周后手术治疗,病理结果证实为肠道间质瘤的多发肝转移。
6、小结
能谱曲线可更加直观的从病灶动脉期强化程度及持续时间对肝脏富血供占位进行鉴别,应用强化前后能谱曲线的高度和斜率变化来评估病变的血供特点,结合血管显示的最佳keV图像,可从多个角度反映病变特征,达到诊断和鉴别诊断的目的。
注:该病例来自辽宁省瓦房店市中心医院。未经本站许可,病例不得用于商业用途的转载。
临床小知识
胃肠道间质瘤(Gastrointestinal Stromal Tumors, GIST)是一类起源于胃肠道间叶组织的肿瘤,占消化道间叶肿瘤的大部分。Mazur等于1983年首次提出了胃肠道间质肿瘤这个概念。胃肠道间质瘤占胃肠道恶性肿瘤的1~3%,多发于中老年患者,GIST大部分发生于胃(50~70%)和小肠(20~30%),结直肠约占10~20%,食道占0~6%,肠系膜、网膜及腹腔后罕见。GIST病人20-30%是恶性的,第一次就诊时约有11~47%已有转移,转移主要在肝和腹腔。手术切除是胃肠道间质肿瘤首选且唯一可能治愈的方法,GIST高危患者术后复发转移率高,可达55%~90%,80%在术后1~2年内有3/4局部复发。
“能谱成像精彩病例展示”专栏活动详情请见:http://dwz.cn/2Rw8Ov
|