|
摘要:脑囊虫病是由寄生虫(猪绦虫为主)所传染的一种顽固性颅脑内疾病。该病约占囊虫病的80%以上。尽管使用新型MRI扫描序列,有些脑囊虫病囊肿依然被隐藏。本研究评估钆双胺(GDD)-MRI脑室造影在鉴定脑囊虫病病例中的诊断价值。结果表明,钆双胺-MRI脑室造影有助于蛛网膜下和脑室内脑囊虫病的诊断,同时能提高诊断准确性。 关键词:脑囊虫病,诊断价值,钆双胺-MRI脑室造影,准确性 
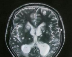
脑囊虫病是由寄生虫(猪绦虫为主)所传染的一种顽固性颅脑内疾病。该病约占囊虫病的80%以上。尽管使用新型MRI扫描序列,有些脑囊虫病囊肿依然被隐藏。本研究评估钆双胺(GDD)-MRI脑室造影在鉴定脑囊虫病病例中的诊断价值。结果表明,钆双胺-MRI脑室造影有助于蛛网膜下和脑室内脑囊虫病的诊断,同时能提高诊断准确性。相关报告2015年发表在《Trop Med Int Health》。 在该项研究中,研究人员纳入年龄18-65岁的疑似蛛网膜下囊虫病患者,这些患者在先前的神经影像学检查中不能证明囊肿的存在。鞘内注射1mL GDD作为MRI检查的对比剂。 研究共纳入14名患者。在9名患者中达到最佳的对比剂扩散,4名患者对比剂部分扩散。10名患者被鉴定为颅内囊泡,总共发现超过60个轻度蛛网膜下囊泡,4名患者的5个囊肿在第四脑室,1名患者的1个流动囊肿在侧脑室。在1例病例中,鞘内GDD证实脊髓囊虫病。鞘内给药GDD后无不良事件报告。 结果表明,鞘内注射GDD有助于蛛网膜下和脑室内脑囊虫病的诊断,同时能提高诊断准确性。 (环球医学资讯供稿 责任编辑 :Ada) 参考资料:http://www.ncbi.nlm.nih.gov/pubmed/25726723
|