|

腹部CT能谱扫描与常规扫描射线剂量和图像噪声的对比研究 (中华放射学杂志,2013,Vol47,No.2,P:116-120) 上海瑞金医院 林晓珠 【Summary】腹部是能谱CT目前应用最为广泛的部位,如何在尽可能低的射线剂量条件下获得可供临床诊断的图像质量一直是相关领域学者致力研究的课题。本研究中,通过体模实验明确了CT常规扫描与能谱扫描模式的mAs之间的关系,建立了两者的回归方程,并根据目前可选的能谱成像扫描参数计算出了相对应的常规扫描的mAs,实现了能谱扫描的个性化。临床研究结果显示,对于相同范围的全腹部CT,常规扫描模式与能谱扫描模式在射线剂量方面差异无统计学意义。本研究也是宝石的最新的GSI Assist技术开发的理论基础之一。GSI assist工具根据病人的定位相(Scout View)获得病人体型大小(eBMI),从而可以自动选择与常规非能谱扫描相似辐射剂量(CTDIvol)的GSI协议,同时实现了一键式智能选取病人个性化GSI协议的临床要求。最新的能谱成像技术已经可以与ASiR技术结合使用(Jpn J Radiol (2014) 32: 217-223),允许操作者根据需要选择不同水平的ASiR重建单能量等能谱图像,这也将为进一步提高CT能谱成像的图像质量和降低剂量提供可能。 
【目的】探讨腹部cT单源瞬时kVp切换模式与常规CT 120 kVp扫描的射线剂量和图像噪声的关系。 【方法】采用质量评价标准体模,对其中的水模部分分别进行能谱成像和常规螺旋扫描,获得常规扫描模式与能谱扫描模式mAs的回归方程,并计算出不同能谱成像(GSI)扫描参数所对应的常规120 kVp扫描mAs。回顾性分析22例全腹部CT增强扫描患者资料。根据平扫常规扫描所使用的mAs选择相应的能谱模式进行增强门静脉期扫描,分别测量常规和能谱CT扫描在肝实质、膀胱区的图像噪声。采用配对t检验比较常规扫描与能谱扫描的射线剂量和图像噪声。 【结果】22例患者cT能谱成像和常规螺旋扫描的CT剂量指数分别为(13.8±4.8)和(14.0±7.0)mGy,剂量长度乘积分别为(691.1±274.2)和(678.8±385.0)mGy·am,差异均无统计学意义(t值分别为0.177和一0.260,P值均>0.05)。在肝脏,65 keV单能量图像的噪声为(7.6±1.4)HU,低于常规扫描滤波反投影(FBP)图像和20%自适应统计迭代重建(ASIR)图像[分别为(10.4±1.0)和(9.1±0.9)HU],与40%ASIR图像相当[(7.8±O.7)HU],高于60%ASIR图像噪声[(6.7±0.7)HU];在膀胱,65 keV单能量图像的噪声[(9.1±1.3)HU]低于常规扫描FBP图像[(10.5±1.3)HU],与20%ASIR图像相当[(9.2±1.2)HU],高于40%和60%ASIR图像的噪声[分别为(8.0±1.1)和(6.8±0.9)HU] 【结论】通过选择合适的参数,腹部cT能谱扫描与常规扫描的射线剂量相当;65 keV单能量图像的噪声低于常规扫描的FBP重建图像、与20%一40%ASIR图像噪声相当,可在临床中常规应用。 表1 常规CT 120 kVp扫描的mAs与能谱成像扫描模式的参数对应表 
注:mAs:毫安秒;GSI:能谱成像;Medium 为中视野36 cm x 36 cm;Large为大视野50 cm×50 cm 表2 22例患者CT能谱扫描与常规120 kVp扫描肝和膀胱图像噪声的比较(HU,X±s) 
注:FBP:滤波反投影;ASIR:自适应统计迭代重建;N1:肝实质的测量噪声;N2:膀胱区的测量噪声;a:各常规120 kVp扫描图像分别与 65 keV单能量图像上肝实质噪声的比较;b:各常规120 kVp扫描图像分别与65 keY单能量图像上膀胱实质噪声的比较。

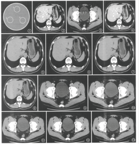
图1 质量评价标准体模水模部分CT值测量示意图,l、2、3为3个ROI。图2,3为能谱扫描65 keV单能量CT横断面图像,分别为肝脏(图2)和膀胱区(图3)实质测量示意图,1、2、3为3个ROI。图4—8为肝脏cT横断面图像。图4为能谱增强扫描65 keV单能量图像,图5为常规扫描滤波反投影(FBP)重建图像,图6~8分别为20%、40%和60%自适应统计迭代重建(ASIR)常规扫描图像,图5—8的图像噪声逐渐降低,图4的图像噪声与图7基本相当。图9—13为膀胱CT横断面图像。图9为能谱增强扫描65 keV单能量图像,图lO为常规扫描FBP重建图像,图11—13分别为20%、40%和60%ASIR常规扫描图像,从图10~13图像噪声逐渐降低,图9的图像噪声与图11基本相当。
|