E-app
首页
学苑
医院
论坛
活动
专栏
登录
注册
论坛
›
磁共振扫描技巧
›
英雄联盟
0
1087
英雄联盟第一期(下)之低颅压综合征
木子
于
2025-06-23 16:07:30
[收藏本贴]
孙悦娇 邱冬冬 王卓 吉林大学白求恩第一医院
接上期:
英雄联盟(扫描技巧分享第一期)
很多很多老师,都分析出低颅压综合征。在此不逐一表示感谢。
1,先说申请单:
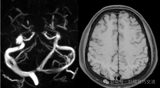
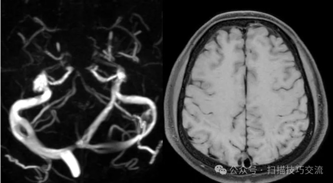
临床申请:颅脑平扫,静脉成像,磁敏感成像,颅内静脉血管黑血成像。
•
初步诊断:静脉窦血栓
这就是当班技术组老师能看到的全部信息。
2,摆位时,患者状况评估
差,很差,非常差。
来了很多家属,推着一张大床。二十来岁的大小伙子,下不了地,走不了道。
摆位时,顺嘴问一句咋会这样子。
家属抢着回答,一走道就头疼,疼的受不了。
老家医院说是脑梗了。咱这边医生说血管里有血栓了。。。。
3,随着序列逐步扫描,图像显示。
静脉有扩张,无血栓。
4,放患者走,当然没得问题。技术组的本职工作已经完成。
然,
患者躺着没事,走道就头疼。
典型的体位性头痛。
脑脊液漏,不得不考虑。
快速的脊髓水成像序列& #40;1s/slice& #41;,试一下,
颈2区域感觉不大对(长箭)。
加个COR 2D MRM对照一下。扫描参数界面:
有点感觉了吧。
来都来了,再加个3D MRM看一下,
|
回复
请
登录
后进行回复
回复
点评
评分
分享
推荐帖子
快速回复
返回顶部
返回列表