|
•男性,29岁,已婚 •头痛伴头晕恶心呕吐20余天 •现病史:患者于20天前,熬夜饮酒后出现头痛,为胀痛,头痛剧烈,伴头晕恶心呕吐。就诊于当地医院,未作出明确诊断。现症状有所缓解,于平卧位时无明显不适,坐位或直立式上述症状加重。急诊以“头痛”收入卒中中心。病程中无视物模糊,无饮水呛咳,无吞咽困难,无抽搐发作等症状。自发病以来睡眠欠佳,近3日未进食,二便正常。近期体重未见明显变化。 •既往史:平素健康,过敏史或不良反应药物反应史无。外伤史无。手术史无。传染病史无。预防接种史无。其它无。
个人史:吸烟10余年,平均20支/天。饮酒13年,平均7~8两/天.
•汗腺分泌:正常,皮肤划痕正常反应。 •尿便障碍:无。性功能障碍无。 •专科情况:正常。不逐一罗列。 •辅助检查:01-05颅脑CT提示:1,上矢状窦、双侧横窦密度较高,请结合临床,必要时进一步检查;2,双侧脑室后角可疑稍高密度影,右顶叶局部脑沟密度可疑增高,建议进一步检查。 •初步诊断:静脉窦血栓
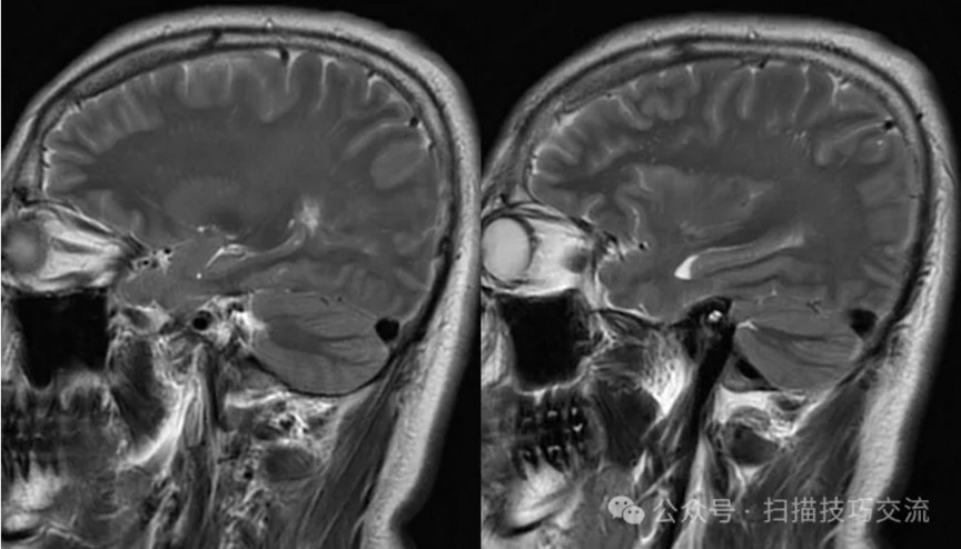
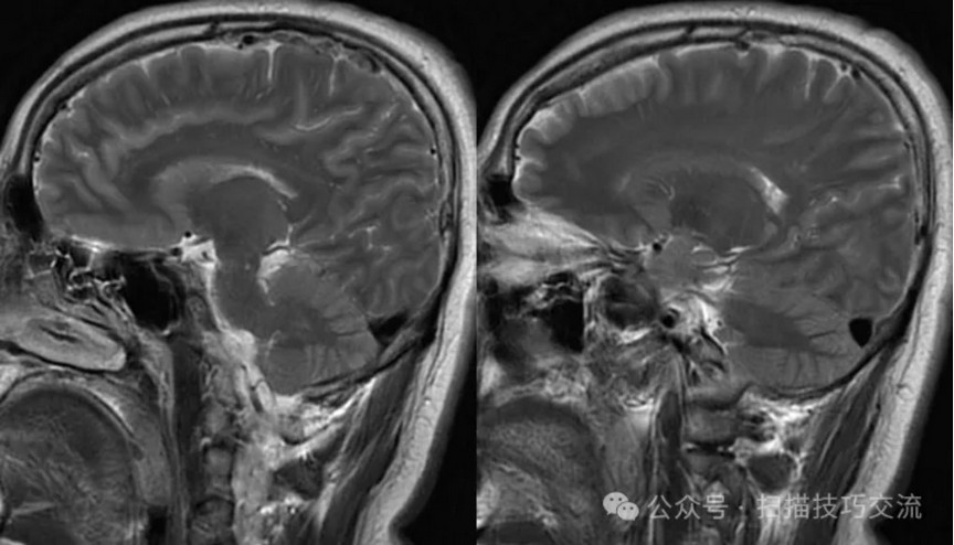
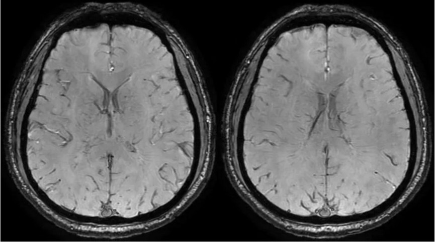
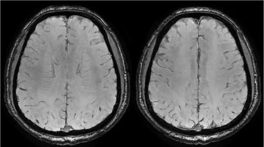
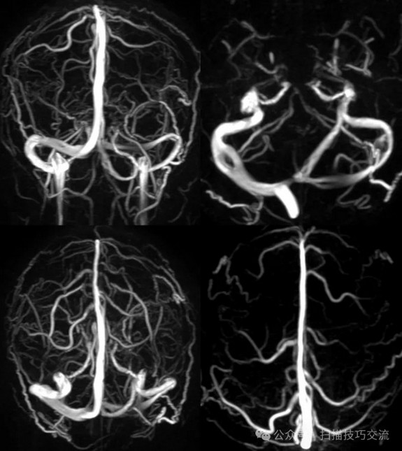
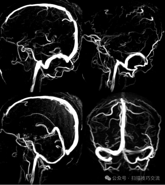
临床申请:颅脑平扫,静脉成像,磁敏感成像,颅内静脉血管黑血成像。
        
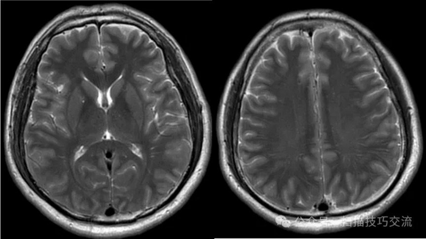
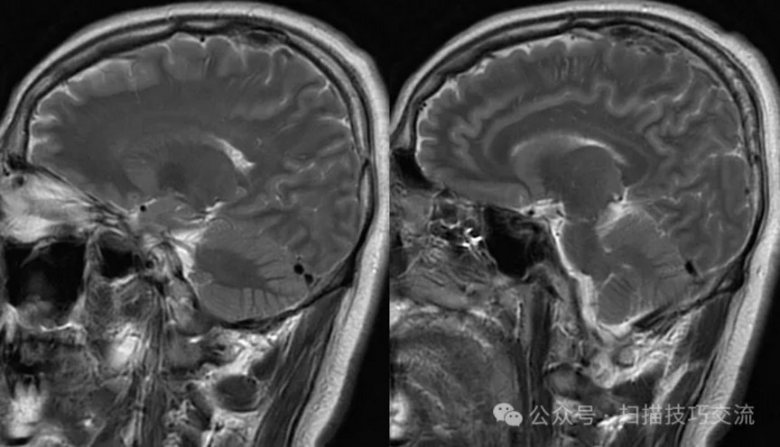
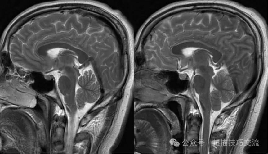
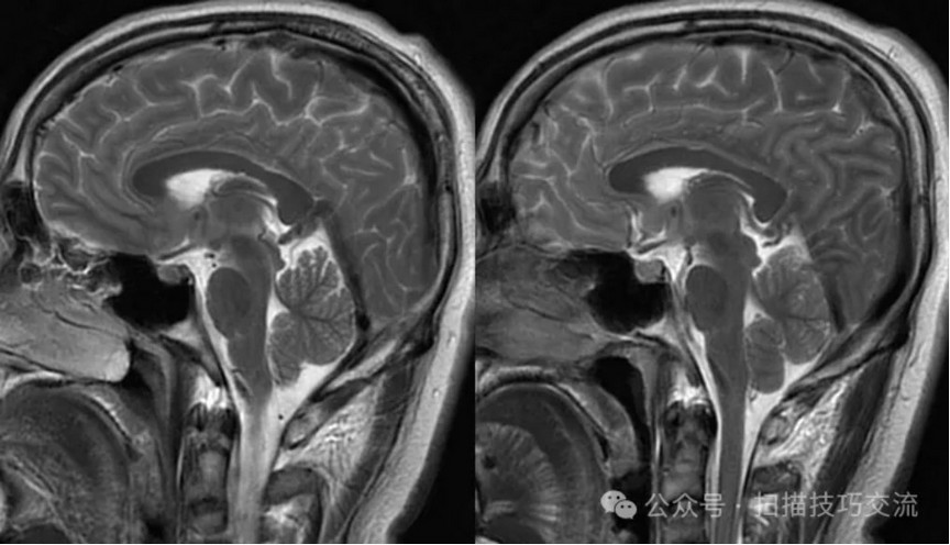
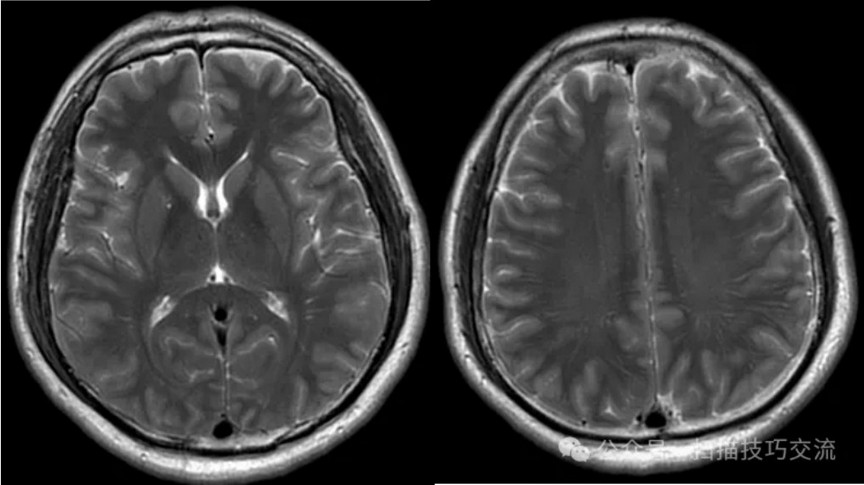
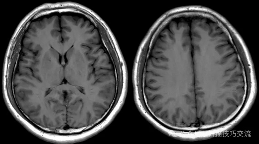
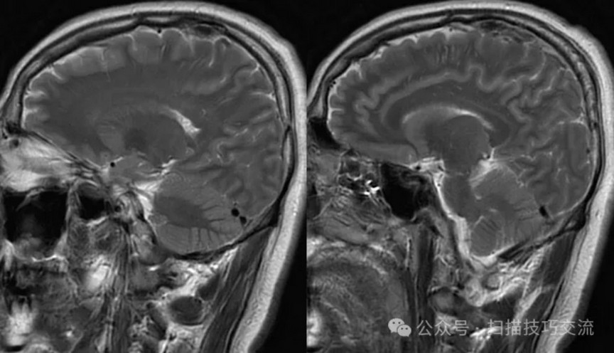
图像不逐一罗列,未见异常。 



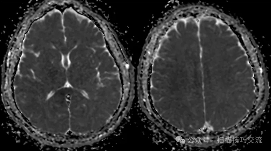
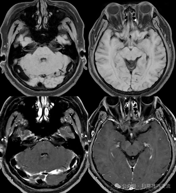
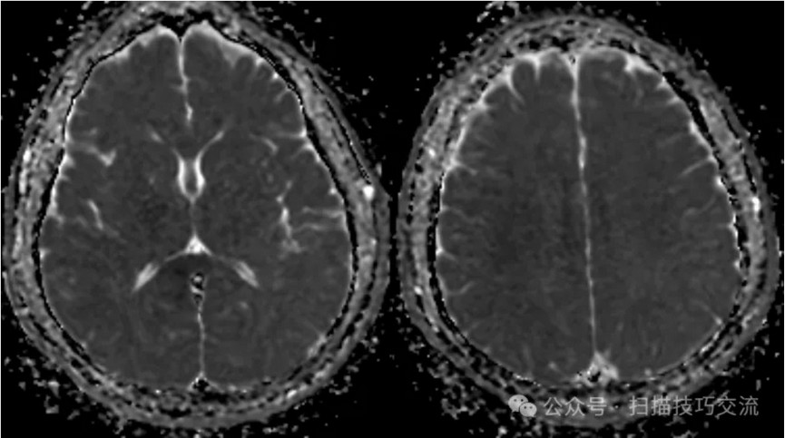
SWAN未见异常。 

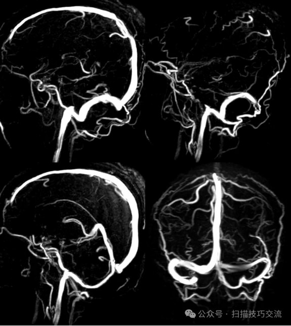
PC-MRV未见异常。 



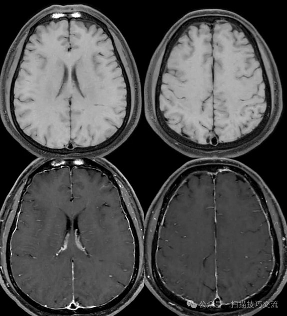
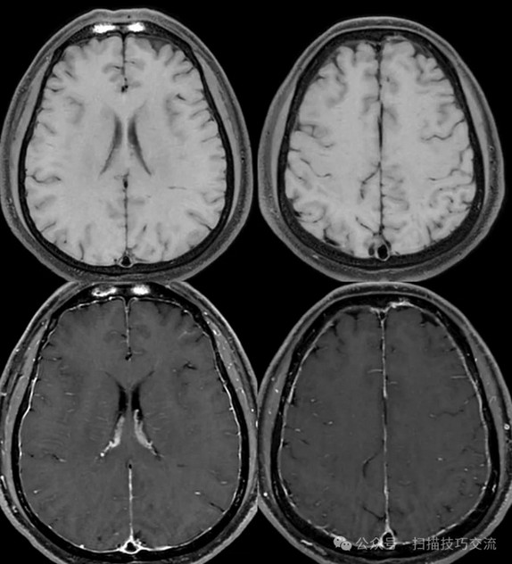
颅内静脉黑血成像,CUBE T1fs w/o +c,静脉窦未见异常。
|