康钰  北京大学人民医院


一、病史


男,70岁 主诉头晕,走路不稳,醉酒样步态

颈总动脉,颈内动脉斑块

椎基底动脉汇合处囊性凸起,动脉瘤?

神经外科收入院行DSA造影检查


二、患者颈动脉超声检查结果


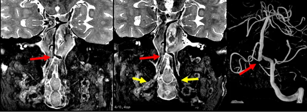
三、CTA检查


双侧颈内动脉虹吸段中度狭窄;

右侧椎动脉未见显影;

基底动脉汇合处一类圆形囊性凸起;

CTA示椎基底动脉汇合处一类圆形囊性凸起,根据凸起位置有理由怀疑是闭塞的椎动脉残余,但不能明确诊断,动脉瘤不除外。

四、DSA检查


五、磁共振亮血MRA

HMRA与CTA,DSA结果一致,无法提供更多的信息。

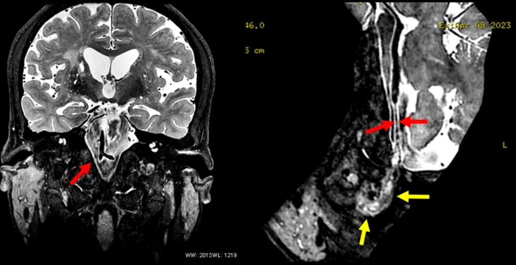
六、MR血管壁成像


结合高分辨磁共振图像,可以看到椎动脉残端在闭塞的椎动脉入颅段是有延续的,拥有完整的动脉壁,同时闭塞血管内血栓致密,这种情况下椎动脉残端出现破裂出血的风险大大降低,暂时不需要外科干预,长期风险也缺乏研究证据,出院后长期随访残端的变化。

七、病例讨论

B超是否可以解决该问题?

临床CTA与DSA为什么不能确定囊性凸起是椎动脉残端?


| 回复

登录后进行回复

发新帖
  • 回复
  • 点评
  • 评分
  • 分享

推荐帖子