|
时间:某月周三下午15:45
患者病史: 男,5岁。 多次癫痫发作。最近一次发作时间:3天前。 磁共振申请单:癫痫MR扫描 备注:水合氯醛自带
做过儿童MR成像的,应该都会有这种感觉。4~10岁的孩子,天使与噩梦并存:天使宝宝,配合很好,无伪影,很快就扫描结束了。噩梦宝宝,来来回回四五次,上床下床;一会哭,一会尿尿,一会拉屎。。。。。。
最关键,这么大的孩子,有时候,水合氯醛作用往往效果一般。 用不用水合氯醛,这是第一个问题。直接建议家长给他用上,当然最省心。然鹅,效果未必理想。
所以,小编想到了第二个方案。 1,把患儿放到最后一个检查,16:30。 2,倒数第二个患者上床的时候,把患儿和父母带到操作室,让他们旁边看。 3,把门打开,带着患儿和父母一起进入机房,感受磁共振的声音。 4,和患儿聊天,消除患儿紧张情绪。告诉它,这就是一个大拖拉机,我们一起来开发它。。。。 我已尽所能,再不成,那就水合氯醛。

天地良心,无镇静,5岁。 做成这样,还可以了。 T2 FSE和T1 FLAIR稍微有点运动伪影,基本上不耽误诊断。可以接受。 小编本着不着急下班的态度,进去和娃娃交代一句:不要动,闭着眼睛睡觉。
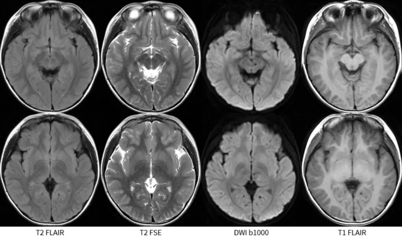
常规序列,好像并没有发现到什么异常信号。
除了 
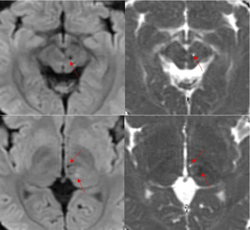
DWI低信号,ADC高信号; DWI稍高信号,ADC略下降。 小朋友,你是否也有很多问号?
接下来,还能搞什么序列。 首先是癫痫经典序列容积CUBE T2FLAIR成像。 
接着,容积解剖成像序列T1W MP – RAGE。等体素扫描,三方面重建轴、矢和冠状面自动重建。  

并未见到显著异常。 癫痫三大利器:容积T2 FLAIR、容积T1以及高分辨COR T2W。
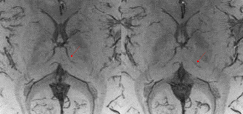
小编已经穷尽洪荒之力,但是并没有找到任何直接或间接证据,导致DWI信号异常。难道是血管畸形? 来个TOF 试试。 TOF MIP重建,未见异常。 
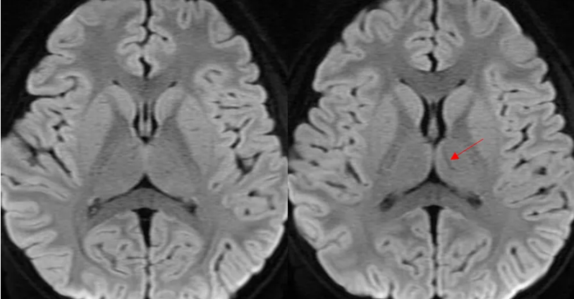
是不是静脉畸形, 整一个磁敏感成像SWAN:2/-1mm 
SWAN进行厚层(6mm)最小信号强度投影重建(MinP)效果, 一根正常的小静脉在此区域走行,其余未见显著异常。 
要么再试试薄层DWI: MUSE DWI b1000:FOV = 20 , 160(freq)× 512(phase),2 /0mm。 这根狡猾的小静脉终于露出庐山真面目。 

常规DWI层厚5 / 1 mm,160 × 192;分辨率已经挺高的了。但是仍旧会存在严重的容积效应。 
这个患儿扫描到MP- RAGE的时候,已经陷入深度睡眠(虽然没有吃药)。所以,我们加扫了SWAN和高清MUSE,2mm,矩阵512。为了降低容积效应,我们已经使出了洪荒之力。
诚然,这个娃娃癫痫发作的病因,我们并没有找到。影像与临床而言,很多时候,我们怒了很久,只是放了一个屁。但是,总结下来,在能力所能及的范畴内,我们问心无愧。 点评:
儿童成像是无数综合医院技师避之不及的领域,运动,不配合,家长情绪不稳定等等。小编的这个方法仅适用于家属逻辑思维正常的时候,因为要提前进入机房感受扫描时候的嘈杂,了解机器工作的环境,尽可能降低患儿恐惧心理。然并卵,在目前特色环境下,必然部分家属会有抵触,甚至拒绝。我们能做的,无非尽人力,各安天命。
|